Digital Database for Screening Mammography

Volume: benign_without_callback_01 Case: B-3211-1


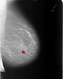
B_3211_1.RIGHT_MLO

B_3211_1.LEFT_MLO

B_3211_1.RIGHT_CC

B_3211_1.LEFT_CC

ics_version 1.0
filename B-3211-1
DATE_OF_STUDY 9 6 1998
PATIENT_AGE 71
FILM
FILM_TYPE REGULAR
DENSITY 1
DATE_DIGITIZED 14 7 1998
DIGITIZER LUMISYS LASER
SEQUENCE
LEFT_CC LINES 5696 PIXELS_PER_LINE 4008 BITS_PER_PIXEL 12 RESOLUTION 50 OVERLAY
LEFT_MLO LINES 5152 PIXELS_PER_LINE 4152 BITS_PER_PIXEL 12 RESOLUTION 50 OVERLAY
RIGHT_CC LINES 5696 PIXELS_PER_LINE 4088 BITS_PER_PIXEL 12 RESOLUTION 50 OVERLAY
RIGHT_MLO LINES 5712 PIXELS_PER_LINE 4080 BITS_PER_PIXEL 12 RESOLUTION 50 OVERLAY

FILE: B_3211_1.LEFT_MLO.OVERLAY

TOTAL_ABNORMALITIES 1
ABNORMALITY 1
LESION_TYPE CALCIFICATION TYPE COARSE DISTRIBUTION N/A
LESION_TYPE MASS SHAPE OVAL MARGINS CIRCUMSCRIBED
ASSESSMENT 2
SUBTLETY 5
PATHOLOGY BENIGN_WITHOUT_CALLBACK
TOTAL_OUTLINES 1 
BOUNDARY
FILE: B_3211_1.RIGHT_MLO.OVERLAY

TOTAL_ABNORMALITIES 1
ABNORMALITY 1
LESION_TYPE CALCIFICATION TYPE COARSE DISTRIBUTION N/A
ASSESSMENT 2
SUBTLETY 5
PATHOLOGY BENIGN_WITHOUT_CALLBACK
TOTAL_OUTLINES 1 
BOUNDARY
FILE: B_3211_1.LEFT_CC.OVERLAY

TOTAL_ABNORMALITIES 1
ABNORMALITY 1
LESION_TYPE CALCIFICATION TYPE COARSE DISTRIBUTION N/A
LESION_TYPE MASS SHAPE OVAL MARGINS CIRCUMSCRIBED
ASSESSMENT 2
SUBTLETY 5
PATHOLOGY BENIGN_WITHOUT_CALLBACK
TOTAL_OUTLINES 1 
BOUNDARY
FILE: B_3211_1.RIGHT_CC.OVERLAY

TOTAL_ABNORMALITIES 1
ABNORMALITY 1
LESION_TYPE CALCIFICATION TYPE COARSE DISTRIBUTION N/A
ASSESSMENT 2
SUBTLETY 5
PATHOLOGY BENIGN_WITHOUT_CALLBACK
TOTAL_OUTLINES 1 
BOUNDARY