Digital Database for Screening Mammography

Volume: benign_without_callback_02 Case: B-3445-1


B_3445_1.RIGHT_MLO

B_3445_1.LEFT_MLO

B_3445_1.RIGHT_CC

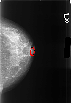
B_3445_1.LEFT_CC

ics_version 1.0
filename B-3445-1
DATE_OF_STUDY 20 11 1998
PATIENT_AGE 67
FILM
FILM_TYPE REGULAR
DENSITY 2
DATE_DIGITIZED 30 12 1998
DIGITIZER LUMISYS LASER
SEQUENCE
LEFT_CC LINES 4504 PIXELS_PER_LINE 3104 BITS_PER_PIXEL 12 RESOLUTION 50 OVERLAY
LEFT_MLO LINES 4280 PIXELS_PER_LINE 2920 BITS_PER_PIXEL 12 RESOLUTION 50 OVERLAY
RIGHT_CC LINES 4088 PIXELS_PER_LINE 2936 BITS_PER_PIXEL 12 RESOLUTION 50 OVERLAY
RIGHT_MLO LINES 4416 PIXELS_PER_LINE 3056 BITS_PER_PIXEL 12 RESOLUTION 50 OVERLAY

FILE: B_3445_1.LEFT_MLO.OVERLAY

TOTAL_ABNORMALITIES 1
ABNORMALITY 1
LESION_TYPE MASS SHAPE LYMPH_NODE MARGINS N/A
ASSESSMENT 2
SUBTLETY 3
PATHOLOGY BENIGN_WITHOUT_CALLBACK
TOTAL_OUTLINES 1 
BOUNDARY
FILE: B_3445_1.RIGHT_MLO.OVERLAY

TOTAL_ABNORMALITIES 2
ABNORMALITY 1
LESION_TYPE MASS SHAPE LYMPH_NODE MARGINS N/A
ASSESSMENT 2
SUBTLETY 3
PATHOLOGY BENIGN_WITHOUT_CALLBACK
TOTAL_OUTLINES 1 
BOUNDARY
ABNORMALITY 2
LESION_TYPE MASS SHAPE LYMPH_NODE MARGINS N/A
ASSESSMENT 2
SUBTLETY 3
PATHOLOGY BENIGN_WITHOUT_CALLBACK
TOTAL_OUTLINES 1 
BOUNDARY
FILE: B_3445_1.LEFT_CC.OVERLAY

TOTAL_ABNORMALITIES 1
ABNORMALITY 1
LESION_TYPE MASS SHAPE LYMPH_NODE MARGINS N/A
ASSESSMENT 2
SUBTLETY 3
PATHOLOGY BENIGN_WITHOUT_CALLBACK
TOTAL_OUTLINES 1 
BOUNDARY
FILE: B_3445_1.RIGHT_CC.OVERLAY

TOTAL_ABNORMALITIES 2
ABNORMALITY 1
LESION_TYPE MASS SHAPE LYMPH_NODE MARGINS N/A
ASSESSMENT 2
SUBTLETY 3
PATHOLOGY BENIGN_WITHOUT_CALLBACK
TOTAL_OUTLINES 1 
BOUNDARY
ABNORMALITY 2
LESION_TYPE MASS SHAPE LYMPH_NODE MARGINS N/A
ASSESSMENT 2
SUBTLETY 3
PATHOLOGY BENIGN_WITHOUT_CALLBACK
TOTAL_OUTLINES 2 
BOUNDARY