Digital Database for Screening Mammography

Volume: benign_01 Case: B-3186-1


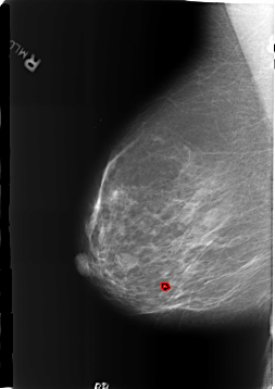
B_3186_1.RIGHT_MLO

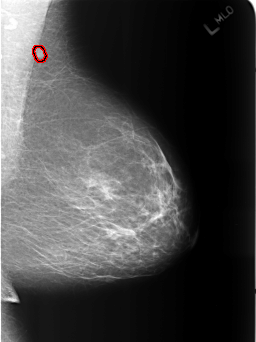
B_3186_1.LEFT_MLO

B_3186_1.RIGHT_CC

B_3186_1.LEFT_CC

ics_version 1.0
filename B-3186-1
DATE_OF_STUDY 8 6 1997
PATIENT_AGE 46
FILM
FILM_TYPE REGULAR
DENSITY 2
DATE_DIGITIZED 15 7 1998
DIGITIZER LUMISYS LASER
SEQUENCE
LEFT_CC LINES 5440 PIXELS_PER_LINE 4000 BITS_PER_PIXEL 12 RESOLUTION 50 NON_OVERLAY
LEFT_MLO LINES 5464 PIXELS_PER_LINE 4096 BITS_PER_PIXEL 12 RESOLUTION 50 OVERLAY
RIGHT_CC LINES 5720 PIXELS_PER_LINE 3992 BITS_PER_PIXEL 12 RESOLUTION 50 OVERLAY
RIGHT_MLO LINES 5720 PIXELS_PER_LINE 4040 BITS_PER_PIXEL 12 RESOLUTION 50 OVERLAY

FILE: B_3186_1.LEFT_MLO.OVERLAY

TOTAL_ABNORMALITIES 1
ABNORMALITY 1
LESION_TYPE MASS SHAPE OVAL MARGINS CIRCUMSCRIBED
ASSESSMENT 2
SUBTLETY 4
PATHOLOGY BENIGN
TOTAL_OUTLINES 1 
BOUNDARY
FILE: B_3186_1.RIGHT_MLO.OVERLAY

TOTAL_ABNORMALITIES 1
ABNORMALITY 1
LESION_TYPE CALCIFICATION TYPE LUCENT_CENTERED DISTRIBUTION N/A
ASSESSMENT 2
SUBTLETY 4
PATHOLOGY BENIGN
TOTAL_OUTLINES 1 
BOUNDARY
FILE: B_3186_1.RIGHT_CC.OVERLAY

TOTAL_ABNORMALITIES 1
ABNORMALITY 1
LESION_TYPE CALCIFICATION TYPE LUCENT_CENTERED DISTRIBUTION N/A
ASSESSMENT 2
SUBTLETY 4
PATHOLOGY BENIGN
TOTAL_OUTLINES 1 
BOUNDARY