Digital Database for Screening Mammography

Volume: benign_03 Case: A-1381-1


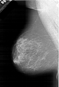
A_1381_1.LEFT_MLO

A_1381_1.RIGHT_MLO

A_1381_1.LEFT_CC

A_1381_1.RIGHT_CC

ics_version 1.0
filename A-1381-1
DATE_OF_STUDY 28 10 1996
PATIENT_AGE 42
FILM
FILM_TYPE REGULAR
DENSITY 3
DATE_DIGITIZED 3 9 1998
DIGITIZER HOWTEK 43.5
SEQUENCE
LEFT_CC LINES 6496 PIXELS_PER_LINE 3916 BITS_PER_PIXEL 12 RESOLUTION 43.5 NON_OVERLAY
LEFT_MLO LINES 5956 PIXELS_PER_LINE 4006 BITS_PER_PIXEL 12 RESOLUTION 43.5 NON_OVERLAY
RIGHT_CC LINES 6796 PIXELS_PER_LINE 4096 BITS_PER_PIXEL 12 RESOLUTION 43.5 OVERLAY
RIGHT_MLO LINES 6646 PIXELS_PER_LINE 3811 BITS_PER_PIXEL 12 RESOLUTION 43.5 OVERLAY

FILE: A_1381_1.RIGHT_MLO.OVERLAY

TOTAL_ABNORMALITIES 1
ABNORMALITY 1 
LESION_TYPE MASS SHAPE OVAL MARGINS ILL_DEFINED
ASSESSMENT 4 
SUBTLETY 3 
PATHOLOGY BENIGN
TOTAL_OUTLINES 1 
BOUNDARY
FILE: A_1381_1.RIGHT_CC.OVERLAY

TOTAL_ABNORMALITIES 1
ABNORMALITY 1 
LESION_TYPE MASS SHAPE OVAL MARGINS ILL_DEFINED
ASSESSMENT 4 
SUBTLETY 3 
PATHOLOGY BENIGN
TOTAL_OUTLINES 1 
BOUNDARY