Digital Database for Screening Mammography

Volume: benign_03 Case: A-1410-1


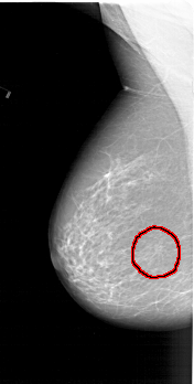
A_1410_1.LEFT_MLO

A_1410_1.RIGHT_MLO

A_1410_1.LEFT_CC

A_1410_1.RIGHT_CC

ics_version 1.0
filename A-1410-1
DATE_OF_STUDY 24 5 1993
PATIENT_AGE 60
FILM
FILM_TYPE REGULAR
DENSITY 3
DATE_DIGITIZED 17 9 1998
DIGITIZER HOWTEK 43.5
SEQUENCE
LEFT_CC LINES 5551 PIXELS_PER_LINE 3256 BITS_PER_PIXEL 12 RESOLUTION 43.5 OVERLAY
LEFT_MLO LINES 6256 PIXELS_PER_LINE 3166 BITS_PER_PIXEL 12 RESOLUTION 43.5 OVERLAY
RIGHT_CC LINES 5716 PIXELS_PER_LINE 3256 BITS_PER_PIXEL 12 RESOLUTION 43.5 NON_OVERLAY
RIGHT_MLO LINES 6316 PIXELS_PER_LINE 3286 BITS_PER_PIXEL 12 RESOLUTION 43.5 NON_OVERLAY

FILE: A_1410_1.LEFT_MLO.OVERLAY

TOTAL_ABNORMALITIES 1
ABNORMALITY 1 
LESION_TYPE MASS SHAPE ARCHITECTURAL_DISTORTION MARGINS ILL_DEFINED
ASSESSMENT 4 
SUBTLETY 2 
PATHOLOGY BENIGN
TOTAL_OUTLINES 1 
BOUNDARY
FILE: A_1410_1.LEFT_CC.OVERLAY

TOTAL_ABNORMALITIES 1
ABNORMALITY 1 
LESION_TYPE MASS SHAPE ARCHITECTURAL_DISTORTION MARGINS ILL_DEFINED
ASSESSMENT 4 
SUBTLETY 2 
PATHOLOGY BENIGN
TOTAL_OUTLINES 1 
BOUNDARY