Digital Database for Screening Mammography

Volume: benign_03 Case: A-1431-1


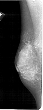
A_1431_1.LEFT_MLO

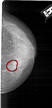
A_1431_1.RIGHT_MLO

A_1431_1.LEFT_CC

A_1431_1.RIGHT_CC

ics_version 1.0
filename A-1431-1
DATE_OF_STUDY 28 2 1994
PATIENT_AGE 51
FILM
FILM_TYPE REGULAR
DENSITY 4
DATE_DIGITIZED 24 9 1998
DIGITIZER HOWTEK 43.5
SEQUENCE
LEFT_CC LINES 4771 PIXELS_PER_LINE 1951 BITS_PER_PIXEL 12 RESOLUTION 43.5 NON_OVERLAY
LEFT_MLO LINES 5416 PIXELS_PER_LINE 2131 BITS_PER_PIXEL 12 RESOLUTION 43.5 NON_OVERLAY
RIGHT_CC LINES 5026 PIXELS_PER_LINE 2446 BITS_PER_PIXEL 12 RESOLUTION 43.5 OVERLAY
RIGHT_MLO LINES 5491 PIXELS_PER_LINE 2611 BITS_PER_PIXEL 12 RESOLUTION 43.5 OVERLAY

FILE: A_1431_1.RIGHT_MLO.OVERLAY

TOTAL_ABNORMALITIES 1
ABNORMALITY 1 
LESION_TYPE CALCIFICATION TYPE AMORPHOUS DISTRIBUTION CLUSTERED
ASSESSMENT 4 
SUBTLETY 3 
PATHOLOGY BENIGN
TOTAL_OUTLINES 1 
BOUNDARY
FILE: A_1431_1.RIGHT_CC.OVERLAY

TOTAL_ABNORMALITIES 1
ABNORMALITY 1 
LESION_TYPE CALCIFICATION TYPE AMORPHOUS DISTRIBUTION CLUSTERED
ASSESSMENT 4 
SUBTLETY 3 
PATHOLOGY BENIGN
TOTAL_OUTLINES 1 
BOUNDARY