Digital Database for Screening Mammography

Volume: benign_05 Case: A-1446-1


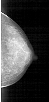
A_1446_1.LEFT_MLO

A_1446_1.RIGHT_MLO

A_1446_1.LEFT_CC

A_1446_1.RIGHT_CC

ics_version 1.0
filename A-1446-1
DATE_OF_STUDY 7 1 1994
PATIENT_AGE 43
FILM
FILM_TYPE REGULAR
DENSITY 4
DATE_DIGITIZED 21 9 1998
DIGITIZER HOWTEK 43.5
SEQUENCE
LEFT_CC LINES 4711 PIXELS_PER_LINE 2296 BITS_PER_PIXEL 12 RESOLUTION 43.5 OVERLAY
LEFT_MLO LINES 5341 PIXELS_PER_LINE 2461 BITS_PER_PIXEL 12 RESOLUTION 43.5 OVERLAY
RIGHT_CC LINES 4636 PIXELS_PER_LINE 2236 BITS_PER_PIXEL 12 RESOLUTION 43.5 NON_OVERLAY
RIGHT_MLO LINES 5071 PIXELS_PER_LINE 2146 BITS_PER_PIXEL 12 RESOLUTION 43.5 NON_OVERLAY

FILE: A_1446_1.LEFT_MLO.OVERLAY

TOTAL_ABNORMALITIES 1
ABNORMALITY 1 
LESION_TYPE CALCIFICATION TYPE AMORPHOUS DISTRIBUTION SEGMENTAL
ASSESSMENT 2 
SUBTLETY 3 
PATHOLOGY BENIGN
TOTAL_OUTLINES 1 
BOUNDARY
FILE: A_1446_1.LEFT_CC.OVERLAY

TOTAL_ABNORMALITIES 1
ABNORMALITY 1 
LESION_TYPE CALCIFICATION TYPE AMORPHOUS DISTRIBUTION SEGMENTAL
ASSESSMENT 2 
SUBTLETY 3 
PATHOLOGY BENIGN
TOTAL_OUTLINES 1 
BOUNDARY