Digital Database for Screening Mammography

Volume: benign_05 Case: A-1473-1


A_1473_1.LEFT_MLO

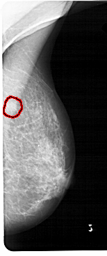
A_1473_1.RIGHT_MLO

A_1473_1.LEFT_CC

A_1473_1.RIGHT_CC

ics_version 1.0
filename A-1473-1
DATE_OF_STUDY 15 6 1990
PATIENT_AGE 58
FILM
FILM_TYPE REGULAR
DENSITY 4
DATE_DIGITIZED 1 9 1998
DIGITIZER HOWTEK 43.5
SEQUENCE
LEFT_CC LINES 5341 PIXELS_PER_LINE 2326 BITS_PER_PIXEL 12 RESOLUTION 43.5 NON_OVERLAY
LEFT_MLO LINES 5476 PIXELS_PER_LINE 2221 BITS_PER_PIXEL 12 RESOLUTION 43.5 NON_OVERLAY
RIGHT_CC LINES 4636 PIXELS_PER_LINE 2116 BITS_PER_PIXEL 12 RESOLUTION 43.5 OVERLAY
RIGHT_MLO LINES 5491 PIXELS_PER_LINE 2296 BITS_PER_PIXEL 12 RESOLUTION 43.5 OVERLAY

FILE: A_1473_1.RIGHT_MLO.OVERLAY

TOTAL_ABNORMALITIES 1
ABNORMALITY 1 
LESION_TYPE MASS SHAPE IRREGULAR MARGINS ILL_DEFINED
ASSESSMENT 4 
SUBTLETY 3 
PATHOLOGY BENIGN
TOTAL_OUTLINES 1 
BOUNDARY
FILE: A_1473_1.RIGHT_CC.OVERLAY

TOTAL_ABNORMALITIES 1
ABNORMALITY 1 
LESION_TYPE MASS SHAPE IRREGULAR MARGINS ILL_DEFINED
ASSESSMENT 4 
SUBTLETY 3 
PATHOLOGY BENIGN
TOTAL_OUTLINES 1 
BOUNDARY