Digital Database for Screening Mammography

Volume: benign_05 Case: A-1497-1


A_1497_1.LEFT_MLO

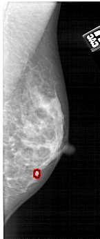
A_1497_1.RIGHT_MLO

A_1497_1.LEFT_CC

A_1497_1.RIGHT_CC

ics_version 1.0
filename A-1497-1
DATE_OF_STUDY 26 5 1994
PATIENT_AGE 45
FILM
FILM_TYPE REGULAR
DENSITY 4
DATE_DIGITIZED 3 11 1998
DIGITIZER HOWTEK 43.5
SEQUENCE
LEFT_CC LINES 5056 PIXELS_PER_LINE 1846 BITS_PER_PIXEL 12 RESOLUTION 43.5 NON_OVERLAY
LEFT_MLO LINES 5491 PIXELS_PER_LINE 2266 BITS_PER_PIXEL 12 RESOLUTION 43.5 NON_OVERLAY
RIGHT_CC LINES 4786 PIXELS_PER_LINE 2101 BITS_PER_PIXEL 12 RESOLUTION 43.5 OVERLAY
RIGHT_MLO LINES 5176 PIXELS_PER_LINE 2161 BITS_PER_PIXEL 12 RESOLUTION 43.5 OVERLAY

FILE: A_1497_1.RIGHT_MLO.OVERLAY

TOTAL_ABNORMALITIES 1
ABNORMALITY 1 
LESION_TYPE CALCIFICATION TYPE PLEOMORPHIC DISTRIBUTION CLUSTERED
ASSESSMENT 4 
SUBTLETY 2 
PATHOLOGY BENIGN
TOTAL_OUTLINES 1 
BOUNDARY
FILE: A_1497_1.RIGHT_CC.OVERLAY

TOTAL_ABNORMALITIES 1
ABNORMALITY 1 
LESION_TYPE CALCIFICATION TYPE PLEOMORPHIC DISTRIBUTION CLUSTERED
ASSESSMENT 4 
SUBTLETY 2 
PATHOLOGY BENIGN
TOTAL_OUTLINES 1 
BOUNDARY