Digital Database for Screening Mammography

Volume: benign_06 Case: C-0373-1


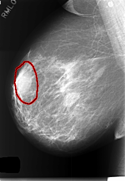
C_0373_1.RIGHT_MLO

C_0373_1.LEFT_MLO

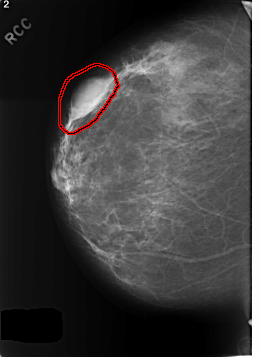
C_0373_1.RIGHT_CC

C_0373_1.LEFT_CC

ics_version 1.0
filename C-0373-1
DATE_OF_STUDY 8 3 1996
PATIENT_AGE 40
FILM
FILM_TYPE REGULAR
DENSITY 2
DATE_DIGITIZED 3 11 1998
DIGITIZER LUMISYS LASER
SEQUENCE
LEFT_CC LINES 5536 PIXELS_PER_LINE 4024 BITS_PER_PIXEL 12 RESOLUTION 50 NON_OVERLAY
LEFT_MLO LINES 5592 PIXELS_PER_LINE 3936 BITS_PER_PIXEL 12 RESOLUTION 50 NON_OVERLAY
RIGHT_CC LINES 5704 PIXELS_PER_LINE 4176 BITS_PER_PIXEL 12 RESOLUTION 50 OVERLAY
RIGHT_MLO LINES 5832 PIXELS_PER_LINE 4024 BITS_PER_PIXEL 12 RESOLUTION 50 OVERLAY

FILE: C_0373_1.RIGHT_MLO.OVERLAY

TOTAL_ABNORMALITIES 1
ABNORMALITY 1
LESION_TYPE MASS SHAPE OVAL MARGINS OBSCURED
ASSESSMENT 4
SUBTLETY 5
PATHOLOGY BENIGN
TOTAL_OUTLINES 1 
BOUNDARY
FILE: C_0373_1.RIGHT_CC.OVERLAY

TOTAL_ABNORMALITIES 1
ABNORMALITY 1
LESION_TYPE MASS SHAPE OVAL MARGINS CIRCUMSCRIBED
ASSESSMENT 4
SUBTLETY 5
PATHOLOGY BENIGN
TOTAL_OUTLINES 1 
BOUNDARY