Digital Database for Screening Mammography

Volume: benign_06 Case: C-0397-1


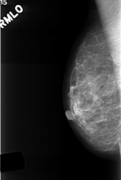
C_0397_1.RIGHT_MLO

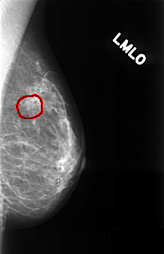
C_0397_1.LEFT_MLO

C_0397_1.RIGHT_CC

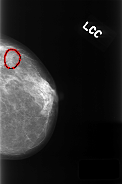
C_0397_1.LEFT_CC

ics_version 1.0
filename C-0397-1
DATE_OF_STUDY 8 10 1996
PATIENT_AGE 63
FILM
FILM_TYPE REGULAR
DENSITY 2
DATE_DIGITIZED 15 10 1998
DIGITIZER LUMISYS LASER
SEQUENCE
LEFT_CC LINES 4360 PIXELS_PER_LINE 2896 BITS_PER_PIXEL 12 RESOLUTION 50 OVERLAY
LEFT_MLO LINES 4392 PIXELS_PER_LINE 2840 BITS_PER_PIXEL 12 RESOLUTION 50 OVERLAY
RIGHT_CC LINES 4304 PIXELS_PER_LINE 2920 BITS_PER_PIXEL 12 RESOLUTION 50 NON_OVERLAY
RIGHT_MLO LINES 4288 PIXELS_PER_LINE 2904 BITS_PER_PIXEL 12 RESOLUTION 50 NON_OVERLAY

FILE: C_0397_1.LEFT_MLO.OVERLAY

TOTAL_ABNORMALITIES 1
ABNORMALITY 1
LESION_TYPE CALCIFICATION TYPE AMORPHOUS DISTRIBUTION CLUSTERED
ASSESSMENT 4
SUBTLETY 2
PATHOLOGY BENIGN
TOTAL_OUTLINES 1 
BOUNDARY
FILE: C_0397_1.LEFT_CC.OVERLAY

TOTAL_ABNORMALITIES 1
ABNORMALITY 1
LESION_TYPE CALCIFICATION TYPE AMORPHOUS DISTRIBUTION CLUSTERED
ASSESSMENT 4
SUBTLETY 2
PATHOLOGY BENIGN
TOTAL_OUTLINES 1 
BOUNDARY