Digital Database for Screening Mammography

Volume: benign_08 Case: A-1711-1


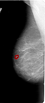
A_1711_1.LEFT_MLO

A_1711_1.RIGHT_MLO

A_1711_1.LEFT_CC

A_1711_1.RIGHT_CC

ics_version 1.0
filename A-1711-1
DATE_OF_STUDY 29 3 1995
PATIENT_AGE 30
FILM
FILM_TYPE REGULAR
DENSITY 1
DATE_DIGITIZED 8 3 1999
DIGITIZER HOWTEK 43.5
SEQUENCE
LEFT_CC LINES 6001 PIXELS_PER_LINE 3091 BITS_PER_PIXEL 12 RESOLUTION 43.5 OVERLAY
LEFT_MLO LINES 6736 PIXELS_PER_LINE 2956 BITS_PER_PIXEL 12 RESOLUTION 43.5 OVERLAY
RIGHT_CC LINES 6166 PIXELS_PER_LINE 3091 BITS_PER_PIXEL 12 RESOLUTION 43.5 NON_OVERLAY
RIGHT_MLO LINES 6346 PIXELS_PER_LINE 3061 BITS_PER_PIXEL 12 RESOLUTION 43.5 NON_OVERLAY

FILE: A_1711_1.LEFT_MLO.OVERLAY

TOTAL_ABNORMALITIES 1
ABNORMALITY 1 
LESION_TYPE MASS SHAPE LOBULATED MARGINS CIRCUMSCRIBED
ASSESSMENT 4 
SUBTLETY 3 
PATHOLOGY BENIGN
TOTAL_OUTLINES 1 
BOUNDARY
FILE: A_1711_1.LEFT_CC.OVERLAY

TOTAL_ABNORMALITIES 1
ABNORMALITY 1 
LESION_TYPE MASS SHAPE LOBULATED MARGINS CIRCUMSCRIBED
ASSESSMENT 4 
SUBTLETY 3 
PATHOLOGY BENIGN
TOTAL_OUTLINES 1 
BOUNDARY