Digital Database for Screening Mammography

Volume: benign_09 Case: D-4046-1


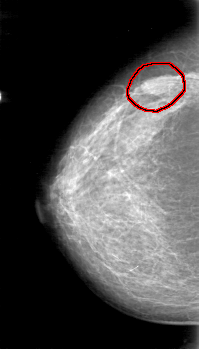
D_4046_1.RIGHT_MLO

D_4046_1.LEFT_MLO

D_4046_1.RIGHT_CC

D_4046_1.LEFT_CC

ics_version 1.0
filename D-4046-1
DATE_OF_STUDY 31 1 1996
PATIENT_AGE 41
FILM
FILM_TYPE REGULAR
DENSITY 3
DATE_DIGITIZED 5 5 1999
DIGITIZER HOWTEK 43.5
SEQUENCE
LEFT_CC LINES 5386 PIXELS_PER_LINE 2911 BITS_PER_PIXEL 12 RESOLUTION 43.5 NON_OVERLAY
LEFT_MLO LINES 5386 PIXELS_PER_LINE 3151 BITS_PER_PIXEL 12 RESOLUTION 43.5 NON_OVERLAY
RIGHT_CC LINES 5221 PIXELS_PER_LINE 2971 BITS_PER_PIXEL 12 RESOLUTION 43.5 OVERLAY
RIGHT_MLO LINES 5281 PIXELS_PER_LINE 3106 BITS_PER_PIXEL 12 RESOLUTION 43.5 OVERLAY

FILE: D_4046_1.RIGHT_MLO.OVERLAY

TOTAL_ABNORMALITIES 1
ABNORMALITY 1 
LESION_TYPE MASS SHAPE OVAL MARGINS OBSCURED
ASSESSMENT 0 
SUBTLETY 4 
PATHOLOGY BENIGN
TOTAL_OUTLINES 1 
BOUNDARY
FILE: D_4046_1.RIGHT_CC.OVERLAY

TOTAL_ABNORMALITIES 1
ABNORMALITY 1 
LESION_TYPE MASS SHAPE OVAL MARGINS OBSCURED
ASSESSMENT 0 
SUBTLETY 4 
PATHOLOGY BENIGN
TOTAL_OUTLINES 2 
BOUNDARY