Digital Database for Screening Mammography

Volume: benign_09 Case: D-4089-1


D_4089_1.RIGHT_MLO

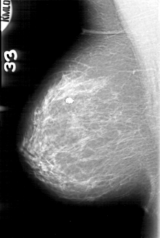
D_4089_1.LEFT_MLO

D_4089_1.RIGHT_CC

D_4089_1.LEFT_CC

ics_version 1.0
filename D-4089-1
DATE_OF_STUDY 19 2 1997
PATIENT_AGE 71
FILM
FILM_TYPE REGULAR
DENSITY 2
DATE_DIGITIZED 10 5 1999
DIGITIZER HOWTEK 43.5
SEQUENCE
LEFT_CC LINES 5281 PIXELS_PER_LINE 3286 BITS_PER_PIXEL 12 RESOLUTION 43.5 OVERLAY
LEFT_MLO LINES 5311 PIXELS_PER_LINE 3676 BITS_PER_PIXEL 12 RESOLUTION 43.5 OVERLAY
RIGHT_CC LINES 5206 PIXELS_PER_LINE 3346 BITS_PER_PIXEL 12 RESOLUTION 43.5 NON_OVERLAY
RIGHT_MLO LINES 5191 PIXELS_PER_LINE 3481 BITS_PER_PIXEL 12 RESOLUTION 43.5 NON_OVERLAY

FILE: D_4089_1.LEFT_MLO.OVERLAY

TOTAL_ABNORMALITIES 1
ABNORMALITY 1 
LESION_TYPE MASS SHAPE OVAL MARGINS OBSCURED
ASSESSMENT 0 
SUBTLETY 3 
PATHOLOGY BENIGN
TOTAL_OUTLINES 1 
BOUNDARY
FILE: D_4089_1.LEFT_CC.OVERLAY

TOTAL_ABNORMALITIES 1
ABNORMALITY 1 
LESION_TYPE MASS SHAPE OVAL MARGINS OBSCURED
ASSESSMENT 0 
SUBTLETY 3 
PATHOLOGY BENIGN
TOTAL_OUTLINES 1 
BOUNDARY