Digital Database for Screening Mammography

Volume: benign_11 Case: A-1810-1


A_1810_1.LEFT_MLO

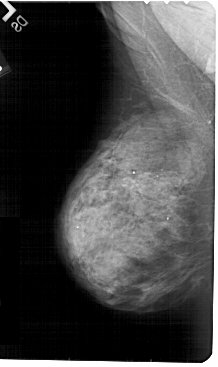
A_1810_1.RIGHT_MLO

A_1810_1.LEFT_CC

A_1810_1.RIGHT_CC

ics_version 1.0
filename A-1810-1
DATE_OF_STUDY 17 12 1997
PATIENT_AGE 58
FILM
FILM_TYPE REGULAR
DENSITY 4
DATE_DIGITIZED 29 4 1999
DIGITIZER HOWTEK 43.5
SEQUENCE
LEFT_CC LINES 5491 PIXELS_PER_LINE 2971 BITS_PER_PIXEL 12 RESOLUTION 43.5 NON_OVERLAY
LEFT_MLO LINES 5491 PIXELS_PER_LINE 3256 BITS_PER_PIXEL 12 RESOLUTION 43.5 NON_OVERLAY
RIGHT_CC LINES 4996 PIXELS_PER_LINE 2626 BITS_PER_PIXEL 12 RESOLUTION 43.5 OVERLAY
RIGHT_MLO LINES 5491 PIXELS_PER_LINE 2926 BITS_PER_PIXEL 12 RESOLUTION 43.5 OVERLAY

FILE: A_1810_1.RIGHT_MLO.OVERLAY

TOTAL_ABNORMALITIES 1
ABNORMALITY 1 
LESION_TYPE CALCIFICATION TYPE PLEOMORPHIC DISTRIBUTION CLUSTERED
ASSESSMENT 4 
SUBTLETY 2 
PATHOLOGY BENIGN
TOTAL_OUTLINES 1 
BOUNDARY
FILE: A_1810_1.RIGHT_CC.OVERLAY

TOTAL_ABNORMALITIES 1
ABNORMALITY 1 
LESION_TYPE CALCIFICATION TYPE PLEOMORPHIC DISTRIBUTION CLUSTERED
ASSESSMENT 4 
SUBTLETY 2 
PATHOLOGY BENIGN
TOTAL_OUTLINES 1 
BOUNDARY