Digital Database for Screening Mammography

Volume: benign_12 Case: A-1939-1


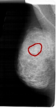
A_1939_1.LEFT_MLO

A_1939_1.RIGHT_MLO

A_1939_1.LEFT_CC

A_1939_1.RIGHT_CC

ics_version 1.0
filename A-1939-1
DATE_OF_STUDY 25 9 1992
PATIENT_AGE 37
FILM
FILM_TYPE REGULAR
DENSITY 4
DATE_DIGITIZED 12 11 1998
DIGITIZER HOWTEK 43.5
SEQUENCE
LEFT_CC LINES 5341 PIXELS_PER_LINE 2416 BITS_PER_PIXEL 12 RESOLUTION 43.5 OVERLAY
LEFT_MLO LINES 5491 PIXELS_PER_LINE 2851 BITS_PER_PIXEL 12 RESOLUTION 43.5 OVERLAY
RIGHT_CC LINES 5011 PIXELS_PER_LINE 2446 BITS_PER_PIXEL 12 RESOLUTION 43.5 NON_OVERLAY
RIGHT_MLO LINES 4711 PIXELS_PER_LINE 2641 BITS_PER_PIXEL 12 RESOLUTION 43.5 NON_OVERLAY

FILE: A_1939_1.LEFT_MLO.OVERLAY

TOTAL_ABNORMALITIES 1
ABNORMALITY 1 
LESION_TYPE CALCIFICATION TYPE AMORPHOUS DISTRIBUTION SEGMENTAL
ASSESSMENT 4 
SUBTLETY 3 
PATHOLOGY BENIGN
TOTAL_OUTLINES 1 
BOUNDARY
FILE: A_1939_1.LEFT_CC.OVERLAY

TOTAL_ABNORMALITIES 1
ABNORMALITY 1 
LESION_TYPE CALCIFICATION TYPE AMORPHOUS DISTRIBUTION SEGMENTAL
ASSESSMENT 4 
SUBTLETY 3 
PATHOLOGY BENIGN
TOTAL_OUTLINES 1 
BOUNDARY