Digital Database for Screening Mammography

Volume: benign_12 Case: A-1941-1


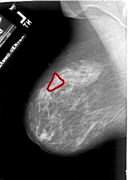
A_1941_1.LEFT_MLO

A_1941_1.RIGHT_MLO

A_1941_1.LEFT_CC

A_1941_1.RIGHT_CC

ics_version 1.0
filename A-1941-1
DATE_OF_STUDY 8 7 1998
PATIENT_AGE 75
FILM
FILM_TYPE REGULAR
DENSITY 3
DATE_DIGITIZED 20 4 1999
DIGITIZER HOWTEK 43.5
SEQUENCE
LEFT_CC LINES 5701 PIXELS_PER_LINE 3976 BITS_PER_PIXEL 12 RESOLUTION 43.5 OVERLAY
LEFT_MLO LINES 5986 PIXELS_PER_LINE 4276 BITS_PER_PIXEL 12 RESOLUTION 43.5 OVERLAY
RIGHT_CC LINES 5326 PIXELS_PER_LINE 3751 BITS_PER_PIXEL 12 RESOLUTION 43.5 NON_OVERLAY
RIGHT_MLO LINES 6271 PIXELS_PER_LINE 3811 BITS_PER_PIXEL 12 RESOLUTION 43.5 NON_OVERLAY

FILE: A_1941_1.LEFT_MLO.OVERLAY

TOTAL_ABNORMALITIES 1
ABNORMALITY 1 
LESION_TYPE CALCIFICATION TYPE PLEOMORPHIC DISTRIBUTION CLUSTERED
ASSESSMENT 4 
SUBTLETY 2 
PATHOLOGY BENIGN
TOTAL_OUTLINES 1 
BOUNDARY
FILE: A_1941_1.LEFT_CC.OVERLAY

TOTAL_ABNORMALITIES 1
ABNORMALITY 1 
LESION_TYPE CALCIFICATION TYPE PLEOMORPHIC DISTRIBUTION CLUSTERED
ASSESSMENT 4 
SUBTLETY 2 
PATHOLOGY BENIGN
TOTAL_OUTLINES 1 
BOUNDARY