Digital Database for Screening Mammography

Volume: cancer_01 Case: C-0016-1


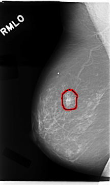
C_0016_1.RIGHT_MLO

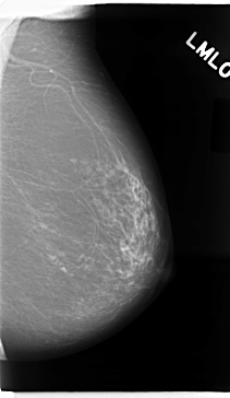
C_0016_1.LEFT_MLO

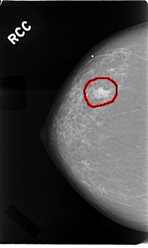
C_0016_1.RIGHT_CC

C_0016_1.LEFT_CC

ics_version 1.0
filename C-0016-1
DATE_OF_STUDY 1 9 1993
PATIENT_AGE 80
FILM
FILM_TYPE REGULAR
DENSITY 1
DATE_DIGITIZED 19 9 1997
DIGITIZER LUMISYS LASER
SEQUENCE
LEFT_CC LINES 4664 PIXELS_PER_LINE 2768 BITS_PER_PIXEL 12 RESOLUTION 50 NON_OVERLAY
LEFT_MLO LINES 4720 PIXELS_PER_LINE 2736 BITS_PER_PIXEL 12 RESOLUTION 50 NON_OVERLAY
RIGHT_CC LINES 4680 PIXELS_PER_LINE 2792 BITS_PER_PIXEL 12 RESOLUTION 50 OVERLAY
RIGHT_MLO LINES 4736 PIXELS_PER_LINE 2800 BITS_PER_PIXEL 12 RESOLUTION 50 OVERLAY

FILE: C_0016_1.RIGHT_MLO.OVERLAY

TOTAL_ABNORMALITIES 1
ABNORMALITY 1
LESION_TYPE MASS SHAPE IRREGULAR MARGINS SPICULATED
ASSESSMENT 5
SUBTLETY 5
PATHOLOGY MALIGNANT
TOTAL_OUTLINES 1 
BOUNDARY
FILE: C_0016_1.RIGHT_CC.OVERLAY

TOTAL_ABNORMALITIES 1
ABNORMALITY 1
LESION_TYPE MASS SHAPE IRREGULAR MARGINS SPICULATED
ASSESSMENT 5
SUBTLETY 5
PATHOLOGY MALIGNANT
TOTAL_OUTLINES 1 
BOUNDARY