Digital Database for Screening Mammography

Volume: cancer_01 Case: B-3009-1


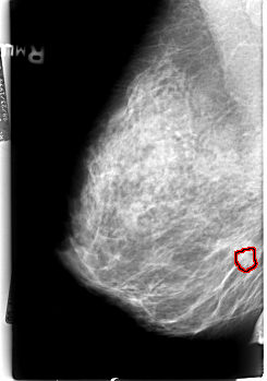
B_3009_1.RIGHT_MLO

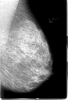
B_3009_1.LEFT_MLO

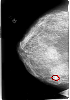
B_3009_1.RIGHT_CC

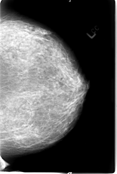
B_3009_1.LEFT_CC

ics_version 1.0
filename B-3009-1
DATE_OF_STUDY 23 8 1995
PATIENT_AGE 50
FILM
FILM_TYPE REGULAR
DENSITY 3
DATE_DIGITIZED 12 6 1997
DIGITIZER LUMISYS LASER
SEQUENCE
LEFT_CC LINES 4584 PIXELS_PER_LINE 3088 BITS_PER_PIXEL 12 RESOLUTION 50 NON_OVERLAY
LEFT_MLO LINES 4568 PIXELS_PER_LINE 3088 BITS_PER_PIXEL 12 RESOLUTION 50 NON_OVERLAY
RIGHT_CC LINES 4552 PIXELS_PER_LINE 3160 BITS_PER_PIXEL 12 RESOLUTION 50 OVERLAY
RIGHT_MLO LINES 4528 PIXELS_PER_LINE 3176 BITS_PER_PIXEL 12 RESOLUTION 50 OVERLAY

FILE: B_3009_1.RIGHT_MLO.OVERLAY

TOTAL_ABNORMALITIES 1
ABNORMALITY 1 
LESION_TYPE CALCIFICATION TYPE PLEOMORPHIC DISTRIBUTION CLUSTERED 
ASSESSMENT 4 
SUBTLETY 3 
PATHOLOGY MALIGNANT
TOTAL_OUTLINES 1 
BOUNDARY
FILE: B_3009_1.RIGHT_CC.OVERLAY

TOTAL_ABNORMALITIES 1
ABNORMALITY 1 
LESION_TYPE CALCIFICATION TYPE AMORPHOUS-PLEOMORPHIC DISTRIBUTION CLUSTERED 
ASSESSMENT 4 
SUBTLETY 3 
PATHOLOGY MALIGNANT
TOTAL_OUTLINES 1 
BOUNDARY