Digital Database for Screening Mammography

Volume: cancer_01 Case: B-3012-1


B_3012_1.RIGHT_MLO

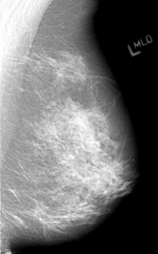
B_3012_1.LEFT_MLO

B_3012_1.RIGHT_CC

B_3012_1.LEFT_CC

ics_version 1.0
filename B-3012-1
DATE_OF_STUDY 23 5 1995
PATIENT_AGE 53
FILM
FILM_TYPE REGULAR
DENSITY 3
DATE_DIGITIZED 24 4 1997
DIGITIZER LUMISYS LASER
SEQUENCE
LEFT_CC LINES 4256 PIXELS_PER_LINE 2752 BITS_PER_PIXEL 12 RESOLUTION 50 NON_OVERLAY
LEFT_MLO LINES 4336 PIXELS_PER_LINE 2696 BITS_PER_PIXEL 12 RESOLUTION 50 NON_OVERLAY
RIGHT_CC LINES 4136 PIXELS_PER_LINE 3152 BITS_PER_PIXEL 12 RESOLUTION 50 OVERLAY
RIGHT_MLO LINES 4216 PIXELS_PER_LINE 3192 BITS_PER_PIXEL 12 RESOLUTION 50 OVERLAY

FILE: B_3012_1.RIGHT_MLO.OVERLAY

TOTAL_ABNORMALITIES 1
ABNORMALITY 1 
LESION_TYPE MASS SHAPE IRREGULAR MARGINS SPICULATED 
ASSESSMENT 4 
SUBTLETY 3 
PATHOLOGY MALIGNANT
TOTAL_OUTLINES 1 
BOUNDARY
FILE: B_3012_1.RIGHT_CC.OVERLAY

TOTAL_ABNORMALITIES 1
ABNORMALITY 1 
LESION_TYPE MASS SHAPE IRREGULAR-ARCHITECTURAL_DISTORTION MARGINS SPICULATED 
ASSESSMENT 4 
SUBTLETY 3 
PATHOLOGY MALIGNANT
TOTAL_OUTLINES 1 
BOUNDARY