Digital Database for Screening Mammography

Volume: cancer_01 Case: B-3017-1


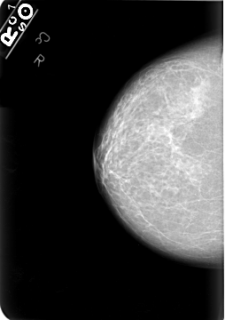
B_3017_1.RIGHT_MLO

B_3017_1.LEFT_MLO

B_3017_1.RIGHT_CC

B_3017_1.LEFT_CC

ics_version 1.0
filename B-3017-1
DATE_OF_STUDY 7 7 1995
PATIENT_AGE 48
FILM
FILM_TYPE REGULAR
DENSITY 2
DATE_DIGITIZED 3 7 1997
DIGITIZER LUMISYS LASER
SEQUENCE
LEFT_CC LINES 5888 PIXELS_PER_LINE 4056 BITS_PER_PIXEL 12 RESOLUTION 50 OVERLAY
LEFT_MLO LINES 5848 PIXELS_PER_LINE 4040 BITS_PER_PIXEL 12 RESOLUTION 50 OVERLAY
RIGHT_CC LINES 5752 PIXELS_PER_LINE 4056 BITS_PER_PIXEL 12 RESOLUTION 50 NON_OVERLAY
RIGHT_MLO LINES 5776 PIXELS_PER_LINE 4080 BITS_PER_PIXEL 12 RESOLUTION 50 NON_OVERLAY

FILE: B_3017_1.LEFT_MLO.OVERLAY

TOTAL_ABNORMALITIES 1
ABNORMALITY 1
LESION_TYPE MASS SHAPE LOBULATED MARGINS ILL_DEFINED
ASSESSMENT 4
SUBTLETY 4
PATHOLOGY MALIGNANT
TOTAL_OUTLINES 1 
BOUNDARY
FILE: B_3017_1.LEFT_CC.OVERLAY

TOTAL_ABNORMALITIES 1
ABNORMALITY 1
LESION_TYPE MASS SHAPE LOBULATED-ARCHITECTURAL_DISTORTION MARGINS MICROLOBULATED-SPICULATED
ASSESSMENT 4
SUBTLETY 5
PATHOLOGY MALIGNANT
TOTAL_OUTLINES 1 
BOUNDARY