Digital Database for Screening Mammography

Volume: cancer_01 Case: B-3021-1


B_3021_1.RIGHT_MLO

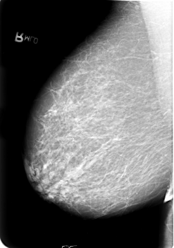
B_3021_1.LEFT_MLO

B_3021_1.RIGHT_CC

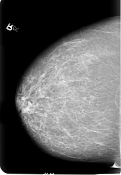
B_3021_1.LEFT_CC

ics_version 1.0
filename B-3021-1
DATE_OF_STUDY 13 9 1994
PATIENT_AGE 59
FILM
FILM_TYPE REGULAR
DENSITY 3
DATE_DIGITIZED 2 7 1997
DIGITIZER LUMISYS LASER
SEQUENCE
LEFT_CC LINES 5704 PIXELS_PER_LINE 4080 BITS_PER_PIXEL 12 RESOLUTION 50 OVERLAY
LEFT_MLO LINES 5752 PIXELS_PER_LINE 4080 BITS_PER_PIXEL 12 RESOLUTION 50 OVERLAY
RIGHT_CC LINES 5760 PIXELS_PER_LINE 3984 BITS_PER_PIXEL 12 RESOLUTION 50 NON_OVERLAY
RIGHT_MLO LINES 5720 PIXELS_PER_LINE 4024 BITS_PER_PIXEL 12 RESOLUTION 50 NON_OVERLAY

FILE: B_3021_1.LEFT_MLO.OVERLAY

TOTAL_ABNORMALITIES 3
ABNORMALITY 1
LESION_TYPE MASS SHAPE LOBULATED MARGINS CIRCUMSCRIBED-ILL_DEFINED
ASSESSMENT 3
SUBTLETY 3
PATHOLOGY MALIGNANT
TOTAL_OUTLINES 1 
BOUNDARY
ABNORMALITY 2
LESION_TYPE MASS SHAPE LOBULATED MARGINS CIRCUMSCRIBED-ILL_DEFINED
ASSESSMENT 3
SUBTLETY 3
PATHOLOGY MALIGNANT
TOTAL_OUTLINES 1 
BOUNDARY
ABNORMALITY 3
LESION_TYPE MASS SHAPE LOBULATED MARGINS CIRCUMSCRIBED-ILL_DEFINED
ASSESSMENT 3
SUBTLETY 3
PATHOLOGY MALIGNANT
TOTAL_OUTLINES 1 
BOUNDARY
FILE: B_3021_1.LEFT_CC.OVERLAY

TOTAL_ABNORMALITIES 3
ABNORMALITY 1
LESION_TYPE MASS SHAPE LOBULATED MARGINS CIRCUMSCRIBED-ILL_DEFINED
ASSESSMENT 3
SUBTLETY 3
PATHOLOGY MALIGNANT
TOTAL_OUTLINES 1 
BOUNDARY
ABNORMALITY 2
LESION_TYPE MASS SHAPE LOBULATED MARGINS CIRCUMSCRIBED-ILL_DEFINED
ASSESSMENT 3
SUBTLETY 3
PATHOLOGY MALIGNANT
TOTAL_OUTLINES 1 
BOUNDARY
ABNORMALITY 3
LESION_TYPE MASS SHAPE LOBULATED MARGINS CIRCUMSCRIBED-ILL_DEFINED
ASSESSMENT 3
SUBTLETY 3
PATHOLOGY MALIGNANT
TOTAL_OUTLINES 1 
BOUNDARY