Digital Database for Screening Mammography

Volume: cancer_01 Case: B-3030-1


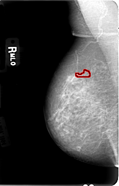
B_3030_1.RIGHT_MLO

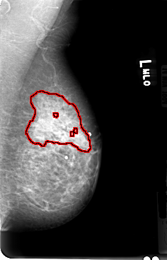
B_3030_1.LEFT_MLO

B_3030_1.RIGHT_CC

B_3030_1.LEFT_CC

ics_version 1.0
filename B-3030-1
DATE_OF_STUDY 14 11 1994
PATIENT_AGE 76
FILM
FILM_TYPE REGULAR
DENSITY 3
DATE_DIGITIZED 3 7 1997
DIGITIZER LUMISYS LASER
SEQUENCE
LEFT_CC LINES 4792 PIXELS_PER_LINE 3064 BITS_PER_PIXEL 12 RESOLUTION 50 OVERLAY
LEFT_MLO LINES 4720 PIXELS_PER_LINE 3048 BITS_PER_PIXEL 12 RESOLUTION 50 OVERLAY
RIGHT_CC LINES 4760 PIXELS_PER_LINE 3072 BITS_PER_PIXEL 12 RESOLUTION 50 OVERLAY
RIGHT_MLO LINES 4792 PIXELS_PER_LINE 3056 BITS_PER_PIXEL 12 RESOLUTION 50 OVERLAY

FILE: B_3030_1.LEFT_MLO.OVERLAY

TOTAL_ABNORMALITIES 1
ABNORMALITY 1
LESION_TYPE CALCIFICATION TYPE PUNCTATE DISTRIBUTION SEGMENTAL
ASSESSMENT 4
SUBTLETY 2
PATHOLOGY MALIGNANT
TOTAL_OUTLINES 4 
BOUNDARY
	CORE
	CORE
	CORE
FILE: B_3030_1.RIGHT_MLO.OVERLAY

TOTAL_ABNORMALITIES 1
ABNORMALITY 1
LESION_TYPE CALCIFICATION TYPE PLEOMORPHIC DISTRIBUTION CLUSTERED-LINEAR
ASSESSMENT 4
SUBTLETY 3
PATHOLOGY BENIGN
TOTAL_OUTLINES 1 
BOUNDARY
FILE: B_3030_1.LEFT_CC.OVERLAY

TOTAL_ABNORMALITIES 1
ABNORMALITY 1
LESION_TYPE CALCIFICATION TYPE PUNCTATE DISTRIBUTION SEGMENTAL
ASSESSMENT 4
SUBTLETY 2
PATHOLOGY MALIGNANT
TOTAL_OUTLINES 4 
BOUNDARY
	CORE
	CORE
	CORE
FILE: B_3030_1.RIGHT_CC.OVERLAY

TOTAL_ABNORMALITIES 1
ABNORMALITY 1
LESION_TYPE CALCIFICATION TYPE PLEOMORPHIC-FINE_LINEAR_BRANCHING DISTRIBUTION CLUSTERED
ASSESSMENT 4
SUBTLETY 3
PATHOLOGY BENIGN
TOTAL_OUTLINES 1 
BOUNDARY