Digital Database for Screening Mammography

Volume: cancer_01 Case: B-3046-1


B_3046_1.RIGHT_MLO

B_3046_1.LEFT_MLO

B_3046_1.RIGHT_CC

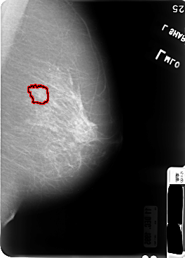
B_3046_1.LEFT_CC

ics_version 1.0
filename B-3046-1
DATE_OF_STUDY 11 12 1995
PATIENT_AGE 54
FILM
FILM_TYPE REGULAR
DENSITY 2
DATE_DIGITIZED 2 9 1997
DIGITIZER LUMISYS LASER
SEQUENCE
LEFT_CC LINES 4824 PIXELS_PER_LINE 3352 BITS_PER_PIXEL 12 RESOLUTION 50 OVERLAY
LEFT_MLO LINES 4760 PIXELS_PER_LINE 3424 BITS_PER_PIXEL 12 RESOLUTION 50 OVERLAY
RIGHT_CC LINES 4792 PIXELS_PER_LINE 3056 BITS_PER_PIXEL 12 RESOLUTION 50 NON_OVERLAY
RIGHT_MLO LINES 4800 PIXELS_PER_LINE 3072 BITS_PER_PIXEL 12 RESOLUTION 50 NON_OVERLAY

FILE: B_3046_1.LEFT_MLO.OVERLAY

TOTAL_ABNORMALITIES 1
ABNORMALITY 1
LESION_TYPE MASS SHAPE IRREGULAR MARGINS SPICULATED
ASSESSMENT 4
SUBTLETY 3
PATHOLOGY MALIGNANT
TOTAL_OUTLINES 1 
BOUNDARY
FILE: B_3046_1.LEFT_CC.OVERLAY

TOTAL_ABNORMALITIES 1
ABNORMALITY 1
LESION_TYPE MASS SHAPE IRREGULAR MARGINS SPICULATED
ASSESSMENT 4
SUBTLETY 3
PATHOLOGY MALIGNANT
TOTAL_OUTLINES 1 
BOUNDARY