Digital Database for Screening Mammography

Volume: cancer_01 Case: B-3047-1


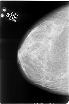
B_3047_1.RIGHT_MLO

B_3047_1.LEFT_MLO

B_3047_1.RIGHT_CC

B_3047_1.LEFT_CC

ics_version 1.0
filename B-3047-1
DATE_OF_STUDY 29 6 1994
PATIENT_AGE 63
FILM
FILM_TYPE REGULAR
DENSITY 3
DATE_DIGITIZED 2 9 1997
DIGITIZER LUMISYS LASER
SEQUENCE
LEFT_CC LINES 4712 PIXELS_PER_LINE 3104 BITS_PER_PIXEL 12 RESOLUTION 50 OVERLAY
LEFT_MLO LINES 4704 PIXELS_PER_LINE 3112 BITS_PER_PIXEL 12 RESOLUTION 50 OVERLAY
RIGHT_CC LINES 4664 PIXELS_PER_LINE 3080 BITS_PER_PIXEL 12 RESOLUTION 50 NON_OVERLAY
RIGHT_MLO LINES 4728 PIXELS_PER_LINE 3088 BITS_PER_PIXEL 12 RESOLUTION 50 NON_OVERLAY

FILE: B_3047_1.LEFT_MLO.OVERLAY

TOTAL_ABNORMALITIES 1
ABNORMALITY 1
LESION_TYPE MASS SHAPE IRREGULAR-ARCHITECTURAL_DISTORTION MARGINS OBSCURED-ILL_DEFINED-SPICULATED
ASSESSMENT 3
SUBTLETY 2
PATHOLOGY MALIGNANT
TOTAL_OUTLINES 1 
BOUNDARY
FILE: B_3047_1.LEFT_CC.OVERLAY

TOTAL_ABNORMALITIES 1
ABNORMALITY 1
LESION_TYPE MASS SHAPE IRREGULAR-ARCHITECTURAL_DISTORTION MARGINS OBSCURED-ILL_DEFINED-SPICULATED
ASSESSMENT 4
SUBTLETY 3
PATHOLOGY MALIGNANT
TOTAL_OUTLINES 1 
BOUNDARY