Digital Database for Screening Mammography

Volume: cancer_02 Case: C-0063-1


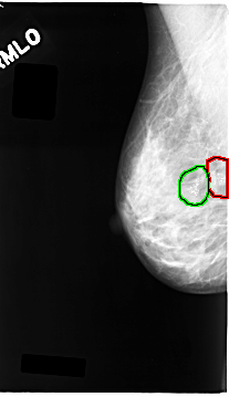
C_0063_1.RIGHT_MLO

C_0063_1.LEFT_MLO

C_0063_1.RIGHT_CC

C_0063_1.LEFT_CC

ics_version 1.0
filename C-0063-1
DATE_OF_STUDY 6 4 1993
PATIENT_AGE 46
FILM
FILM_TYPE REGULAR
DENSITY 3
DATE_DIGITIZED 24 10 1997
DIGITIZER LUMISYS LASER
SEQUENCE
LEFT_CC LINES 4632 PIXELS_PER_LINE 2416 BITS_PER_PIXEL 12 RESOLUTION 50 NON_OVERLAY
LEFT_MLO LINES 4648 PIXELS_PER_LINE 2512 BITS_PER_PIXEL 12 RESOLUTION 50 NON_OVERLAY
RIGHT_CC LINES 4672 PIXELS_PER_LINE 2720 BITS_PER_PIXEL 12 RESOLUTION 50 OVERLAY
RIGHT_MLO LINES 4664 PIXELS_PER_LINE 2680 BITS_PER_PIXEL 12 RESOLUTION 50 OVERLAY

FILE: C_0063_1.RIGHT_MLO.OVERLAY

TOTAL_ABNORMALITIES 2
ABNORMALITY 1
LESION_TYPE CALCIFICATION TYPE PLEOMORPHIC DISTRIBUTION CLUSTERED
ASSESSMENT 5
SUBTLETY 5
PATHOLOGY MALIGNANT
TOTAL_OUTLINES 1 
BOUNDARY
ABNORMALITY 2
LESION_TYPE CALCIFICATION TYPE PLEOMORPHIC DISTRIBUTION CLUSTERED
ASSESSMENT 5
SUBTLETY 5
PATHOLOGY MALIGNANT
TOTAL_OUTLINES 1 
BOUNDARY
FILE: C_0063_1.RIGHT_CC.OVERLAY

TOTAL_ABNORMALITIES 2
ABNORMALITY 1
LESION_TYPE CALCIFICATION TYPE PLEOMORPHIC DISTRIBUTION CLUSTERED
ASSESSMENT 5
SUBTLETY 5
PATHOLOGY MALIGNANT
TOTAL_OUTLINES 1 
BOUNDARY
ABNORMALITY 2
LESION_TYPE CALCIFICATION TYPE PLEOMORPHIC DISTRIBUTION CLUSTERED
ASSESSMENT 5
SUBTLETY 5
PATHOLOGY MALIGNANT
TOTAL_OUTLINES 1 
BOUNDARY