Digital Database for Screening Mammography

Volume: cancer_02 Case: C-0074-1


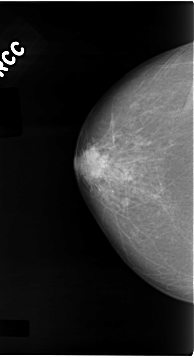
C_0074_1.RIGHT_MLO

C_0074_1.LEFT_MLO

C_0074_1.RIGHT_CC

C_0074_1.LEFT_CC

ics_version 1.0
filename C-0074-1
DATE_OF_STUDY 6 10 1994
PATIENT_AGE 74
FILM
FILM_TYPE REGULAR
DENSITY 2
DATE_DIGITIZED 7 11 1997
DIGITIZER LUMISYS LASER
SEQUENCE
LEFT_CC LINES 4704 PIXELS_PER_LINE 2472 BITS_PER_PIXEL 12 RESOLUTION 50 OVERLAY
LEFT_MLO LINES 4704 PIXELS_PER_LINE 2552 BITS_PER_PIXEL 12 RESOLUTION 50 OVERLAY
RIGHT_CC LINES 4648 PIXELS_PER_LINE 2520 BITS_PER_PIXEL 12 RESOLUTION 50 NON_OVERLAY
RIGHT_MLO LINES 4672 PIXELS_PER_LINE 2432 BITS_PER_PIXEL 12 RESOLUTION 50 NON_OVERLAY

FILE: C_0074_1.LEFT_MLO.OVERLAY

TOTAL_ABNORMALITIES 1
ABNORMALITY 1
LESION_TYPE MASS SHAPE IRREGULAR MARGINS SPICULATED
ASSESSMENT 5
SUBTLETY 5
PATHOLOGY MALIGNANT
TOTAL_OUTLINES 1 
BOUNDARY
FILE: C_0074_1.LEFT_CC.OVERLAY

TOTAL_ABNORMALITIES 1
ABNORMALITY 1
LESION_TYPE MASS SHAPE IRREGULAR MARGINS SPICULATED
ASSESSMENT 5
SUBTLETY 5
PATHOLOGY MALIGNANT
TOTAL_OUTLINES 1 
BOUNDARY