Digital Database for Screening Mammography

Volume: cancer_02 Case: B-3067-1


B_3067_1.RIGHT_MLO

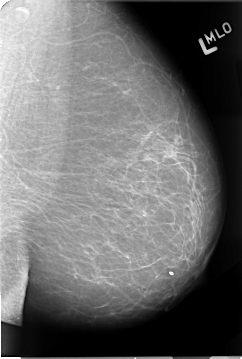
B_3067_1.LEFT_MLO

B_3067_1.RIGHT_CC

B_3067_1.LEFT_CC

ics_version 1.0
filename B-3067-1
DATE_OF_STUDY 8 8 1996
PATIENT_AGE 68
FILM
FILM_TYPE REGULAR
DENSITY 1
DATE_DIGITIZED 1 10 1997
DIGITIZER LUMISYS LASER
SEQUENCE
LEFT_CC LINES 4632 PIXELS_PER_LINE 2848 BITS_PER_PIXEL 12 RESOLUTION 50 NON_OVERLAY
LEFT_MLO LINES 4656 PIXELS_PER_LINE 3136 BITS_PER_PIXEL 12 RESOLUTION 50 NON_OVERLAY
RIGHT_CC LINES 4608 PIXELS_PER_LINE 2720 BITS_PER_PIXEL 12 RESOLUTION 50 OVERLAY
RIGHT_MLO LINES 4792 PIXELS_PER_LINE 3024 BITS_PER_PIXEL 12 RESOLUTION 50 OVERLAY

FILE: B_3067_1.RIGHT_MLO.OVERLAY

TOTAL_ABNORMALITIES 1
ABNORMALITY 1
LESION_TYPE MASS SHAPE LOBULATED MARGINS CIRCUMSCRIBED-ILL_DEFINED
ASSESSMENT 4
SUBTLETY 4
PATHOLOGY MALIGNANT
TOTAL_OUTLINES 1 
BOUNDARY
FILE: B_3067_1.RIGHT_CC.OVERLAY

TOTAL_ABNORMALITIES 1
ABNORMALITY 1
LESION_TYPE MASS SHAPE LOBULATED MARGINS CIRCUMSCRIBED-ILL_DEFINED
ASSESSMENT 4
SUBTLETY 5
PATHOLOGY MALIGNANT
TOTAL_OUTLINES 1 
BOUNDARY