Digital Database for Screening Mammography

Volume: cancer_03 Case: A-1022-1


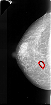
A_1022_1.LEFT_MLO

A_1022_1.RIGHT_MLO

A_1022_1.LEFT_CC

A_1022_1.RIGHT_CC

ics_version 1.0
filename A-1022-1
DATE_OF_STUDY 8 7 1993
PATIENT_AGE 56
FILM
FILM_TYPE REGULAR
DENSITY 1
DATE_DIGITIZED 7 1 1998
DIGITIZER DBA 21
SEQUENCE
LEFT_CC LINES 4831 PIXELS_PER_LINE 2371 BITS_PER_PIXEL 16 RESOLUTION 42 OVERLAY
LEFT_MLO LINES 4756 PIXELS_PER_LINE 2476 BITS_PER_PIXEL 16 RESOLUTION 42 OVERLAY
RIGHT_CC LINES 4456 PIXELS_PER_LINE 2236 BITS_PER_PIXEL 16 RESOLUTION 42 NON_OVERLAY
RIGHT_MLO LINES 4861 PIXELS_PER_LINE 2311 BITS_PER_PIXEL 16 RESOLUTION 42 NON_OVERLAY

FILE: A_1022_1.LEFT_MLO.OVERLAY

TOTAL_ABNORMALITIES 1
ABNORMALITY 1 
LESION_TYPE CALCIFICATION TYPE PLEOMORPHIC DISTRIBUTION CLUSTERED
ASSESSMENT 4 
SUBTLETY 3 
PATHOLOGY MALIGNANT
TOTAL_OUTLINES 1 
BOUNDARY
FILE: A_1022_1.LEFT_CC.OVERLAY

TOTAL_ABNORMALITIES 1
ABNORMALITY 1 
LESION_TYPE CALCIFICATION TYPE PLEOMORPHIC DISTRIBUTION CLUSTERED
ASSESSMENT 4 
SUBTLETY 3 
PATHOLOGY MALIGNANT
TOTAL_OUTLINES 1 
BOUNDARY