Digital Database for Screening Mammography

Volume: cancer_03 Case: A-1023-1


A_1023_1.LEFT_MLO

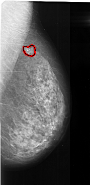
A_1023_1.RIGHT_MLO

A_1023_1.LEFT_CC

A_1023_1.RIGHT_CC

ics_version 1.0
filename A-1023-1
DATE_OF_STUDY 23 2 1993
PATIENT_AGE 74
FILM
FILM_TYPE REGULAR
DENSITY 3
DATE_DIGITIZED 7 1 1998
DIGITIZER DBA 21
SEQUENCE
LEFT_CC LINES 4786 PIXELS_PER_LINE 2176 BITS_PER_PIXEL 16 RESOLUTION 42 NON_OVERLAY
LEFT_MLO LINES 5431 PIXELS_PER_LINE 2386 BITS_PER_PIXEL 16 RESOLUTION 42 NON_OVERLAY
RIGHT_CC LINES 5011 PIXELS_PER_LINE 2701 BITS_PER_PIXEL 16 RESOLUTION 42 NON_OVERLAY
RIGHT_MLO LINES 5491 PIXELS_PER_LINE 2671 BITS_PER_PIXEL 16 RESOLUTION 42 OVERLAY

FILE: A_1023_1.RIGHT_MLO.OVERLAY

TOTAL_ABNORMALITIES 1
ABNORMALITY 1 
LESION_TYPE CALCIFICATION TYPE FINE_LINEAR_BRANCHING DISTRIBUTION CLUSTERED
ASSESSMENT 5 
SUBTLETY 5 
PATHOLOGY MALIGNANT
TOTAL_OUTLINES 1 
BOUNDARY