Digital Database for Screening Mammography

Volume: cancer_03 Case: A-1029-1


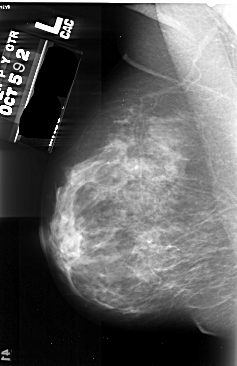
A_1029_1.LEFT_MLO

A_1029_1.RIGHT_MLO

A_1029_1.LEFT_CC

A_1029_1.RIGHT_CC

ics_version 1.0
filename A-1029-1
DATE_OF_STUDY 5 10 1992
PATIENT_AGE 39
FILM
FILM_TYPE REGULAR
DENSITY 4
DATE_DIGITIZED 6 1 1998
DIGITIZER DBA 21
SEQUENCE
LEFT_CC LINES 5131 PIXELS_PER_LINE 3151 BITS_PER_PIXEL 16 RESOLUTION 42 NON_OVERLAY
LEFT_MLO LINES 5476 PIXELS_PER_LINE 3541 BITS_PER_PIXEL 16 RESOLUTION 42 NON_OVERLAY
RIGHT_CC LINES 4426 PIXELS_PER_LINE 3001 BITS_PER_PIXEL 16 RESOLUTION 42 OVERLAY
RIGHT_MLO LINES 5326 PIXELS_PER_LINE 3046 BITS_PER_PIXEL 16 RESOLUTION 42 OVERLAY

FILE: A_1029_1.RIGHT_MLO.OVERLAY

TOTAL_ABNORMALITIES 1
ABNORMALITY 1 
LESION_TYPE CALCIFICATION TYPE PLEOMORPHIC DISTRIBUTION CLUSTERED
ASSESSMENT 4 
SUBTLETY 3 
PATHOLOGY MALIGNANT
TOTAL_OUTLINES 1 
BOUNDARY
FILE: A_1029_1.RIGHT_CC.OVERLAY

TOTAL_ABNORMALITIES 1
ABNORMALITY 1 
LESION_TYPE CALCIFICATION TYPE PLEOMORPHIC DISTRIBUTION CLUSTERED
ASSESSMENT 4 
SUBTLETY 3 
PATHOLOGY MALIGNANT
TOTAL_OUTLINES 1 
BOUNDARY