Digital Database for Screening Mammography

Volume: cancer_03 Case: A-1043-1


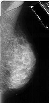
A_1043_1.LEFT_MLO

A_1043_1.RIGHT_MLO

A_1043_1.LEFT_CC

A_1043_1.RIGHT_CC

ics_version 1.0
filename A-1043-1
DATE_OF_STUDY 13 8 1996
PATIENT_AGE 48
FILM
FILM_TYPE REGULAR
DENSITY 4
DATE_DIGITIZED 5 11 1997
DIGITIZER DBA 21
SEQUENCE
LEFT_CC LINES 4426 PIXELS_PER_LINE 2536 BITS_PER_PIXEL 16 RESOLUTION 42 OVERLAY
LEFT_MLO LINES 5326 PIXELS_PER_LINE 2746 BITS_PER_PIXEL 16 RESOLUTION 42 OVERLAY
RIGHT_CC LINES 4201 PIXELS_PER_LINE 2446 BITS_PER_PIXEL 16 RESOLUTION 42 NON_OVERLAY
RIGHT_MLO LINES 5386 PIXELS_PER_LINE 2581 BITS_PER_PIXEL 16 RESOLUTION 42 NON_OVERLAY

FILE: A_1043_1.LEFT_MLO.OVERLAY

TOTAL_ABNORMALITIES 1
ABNORMALITY 1 
LESION_TYPE CALCIFICATION TYPE AMORPHOUS DISTRIBUTION CLUSTERED
ASSESSMENT 4 
SUBTLETY 2 
PATHOLOGY MALIGNANT
TOTAL_OUTLINES 1 
BOUNDARY
FILE: A_1043_1.LEFT_CC.OVERLAY

TOTAL_ABNORMALITIES 1
ABNORMALITY 1 
LESION_TYPE CALCIFICATION TYPE AMORPHOUS DISTRIBUTION CLUSTERED
ASSESSMENT 4 
SUBTLETY 2 
PATHOLOGY MALIGNANT
TOTAL_OUTLINES 1 
BOUNDARY