Digital Database for Screening Mammography

Volume: cancer_03 Case: A-1065-1


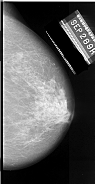
A_1065_1.LEFT_MLO

A_1065_1.RIGHT_MLO

A_1065_1.LEFT_CC

A_1065_1.RIGHT_CC

ics_version 1.0
filename A-1065-1
DATE_OF_STUDY 28 9 1989
PATIENT_AGE 79
FILM
FILM_TYPE REGULAR
DENSITY 3
DATE_DIGITIZED 27 1 1998
DIGITIZER DBA 21
SEQUENCE
LEFT_CC LINES 5416 PIXELS_PER_LINE 2911 BITS_PER_PIXEL 16 RESOLUTION 42 NON_OVERLAY
LEFT_MLO LINES 5506 PIXELS_PER_LINE 3016 BITS_PER_PIXEL 16 RESOLUTION 42 OVERLAY
RIGHT_CC LINES 5476 PIXELS_PER_LINE 2821 BITS_PER_PIXEL 16 RESOLUTION 42 NON_OVERLAY
RIGHT_MLO LINES 5476 PIXELS_PER_LINE 3181 BITS_PER_PIXEL 16 RESOLUTION 42 NON_OVERLAY

FILE: A_1065_1.LEFT_MLO.OVERLAY

TOTAL_ABNORMALITIES 1
ABNORMALITY 1 
LESION_TYPE MASS SHAPE IRREGULAR MARGINS SPICULATED
ASSESSMENT 5 
SUBTLETY 4 
PATHOLOGY MALIGNANT
TOTAL_OUTLINES 2 
BOUNDARY
	CORE