Digital Database for Screening Mammography

Volume: cancer_04 Case: A-1071-1


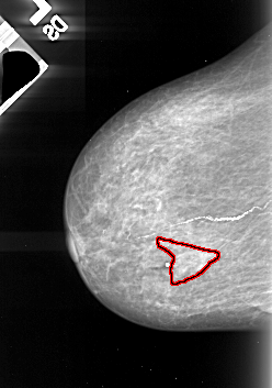
A_1071_1.LEFT_MLO

A_1071_1.RIGHT_MLO

A_1071_1.LEFT_CC

A_1071_1.RIGHT_CC

ics_version 1.0
filename A-1071-1
DATE_OF_STUDY 23 5 1997
PATIENT_AGE 82
FILM
FILM_TYPE REGULAR
DENSITY 3
DATE_DIGITIZED 9 2 1998
DIGITIZER DBA 21
SEQUENCE
LEFT_CC LINES 4231 PIXELS_PER_LINE 2971 BITS_PER_PIXEL 16 RESOLUTION 42 OVERLAY
LEFT_MLO LINES 5296 PIXELS_PER_LINE 2881 BITS_PER_PIXEL 16 RESOLUTION 42 OVERLAY
RIGHT_CC LINES 4321 PIXELS_PER_LINE 2401 BITS_PER_PIXEL 16 RESOLUTION 42 NON_OVERLAY
RIGHT_MLO LINES 5161 PIXELS_PER_LINE 2536 BITS_PER_PIXEL 16 RESOLUTION 42 NON_OVERLAY

FILE: A_1071_1.LEFT_MLO.OVERLAY

TOTAL_ABNORMALITIES 1
ABNORMALITY 1 
LESION_TYPE CALCIFICATION TYPE PLEOMORPHIC DISTRIBUTION SEGMENTAL
ASSESSMENT 4 
SUBTLETY 2 
PATHOLOGY MALIGNANT
TOTAL_OUTLINES 1 
BOUNDARY
FILE: A_1071_1.LEFT_CC.OVERLAY

TOTAL_ABNORMALITIES 1
ABNORMALITY 1 
LESION_TYPE CALCIFICATION TYPE PLEOMORPHIC DISTRIBUTION SEGMENTAL
ASSESSMENT 4 
SUBTLETY 2 
PATHOLOGY MALIGNANT
TOTAL_OUTLINES 1 
BOUNDARY