Digital Database for Screening Mammography

Volume: cancer_04 Case: A-1088-1


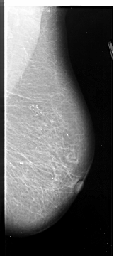
A_1088_1.LEFT_MLO

A_1088_1.RIGHT_MLO

A_1088_1.LEFT_CC

A_1088_1.RIGHT_CC

ics_version 1.0
filename A-1088-1
DATE_OF_STUDY 13 12 1988
PATIENT_AGE 77
FILM
FILM_TYPE REGULAR
DENSITY 2
DATE_DIGITIZED 12 2 1998
DIGITIZER DBA 21
SEQUENCE
LEFT_CC LINES 5896 PIXELS_PER_LINE 2911 BITS_PER_PIXEL 16 RESOLUTION 42 OVERLAY
LEFT_MLO LINES 6451 PIXELS_PER_LINE 2686 BITS_PER_PIXEL 16 RESOLUTION 42 OVERLAY
RIGHT_CC LINES 6031 PIXELS_PER_LINE 2866 BITS_PER_PIXEL 16 RESOLUTION 42 NON_OVERLAY
RIGHT_MLO LINES 6466 PIXELS_PER_LINE 2881 BITS_PER_PIXEL 16 RESOLUTION 42 NON_OVERLAY

FILE: A_1088_1.LEFT_MLO.OVERLAY

TOTAL_ABNORMALITIES 1
ABNORMALITY 1 
LESION_TYPE CALCIFICATION TYPE PLEOMORPHIC DISTRIBUTION SEGMENTAL
ASSESSMENT 4 
SUBTLETY 3 
PATHOLOGY MALIGNANT
TOTAL_OUTLINES 1 
BOUNDARY
FILE: A_1088_1.LEFT_CC.OVERLAY

TOTAL_ABNORMALITIES 1
ABNORMALITY 1 
LESION_TYPE CALCIFICATION TYPE PLEOMORPHIC DISTRIBUTION SEGMENTAL
ASSESSMENT 4 
SUBTLETY 3 
PATHOLOGY MALIGNANT
TOTAL_OUTLINES 1 
BOUNDARY