Digital Database for Screening Mammography

Volume: cancer_05 Case: C-0139-1


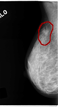
C_0139_1.RIGHT_MLO

C_0139_1.LEFT_MLO

C_0139_1.RIGHT_CC

C_0139_1.LEFT_CC

ics_version 1.0
filename C-0139-1
DATE_OF_STUDY 17 10 1995
PATIENT_AGE 31
FILM
FILM_TYPE REGULAR
DENSITY 3
DATE_DIGITIZED 18 2 1998
DIGITIZER LUMISYS LASER
SEQUENCE
LEFT_CC LINES 4704 PIXELS_PER_LINE 2624 BITS_PER_PIXEL 12 RESOLUTION 50 NON_OVERLAY
LEFT_MLO LINES 4696 PIXELS_PER_LINE 2592 BITS_PER_PIXEL 12 RESOLUTION 50 NON_OVERLAY
RIGHT_CC LINES 4696 PIXELS_PER_LINE 2664 BITS_PER_PIXEL 12 RESOLUTION 50 NON_OVERLAY
RIGHT_MLO LINES 4720 PIXELS_PER_LINE 2568 BITS_PER_PIXEL 12 RESOLUTION 50 OVERLAY

FILE: C_0139_1.RIGHT_MLO.OVERLAY

TOTAL_ABNORMALITIES 1
ABNORMALITY 1
LESION_TYPE MASS SHAPE IRREGULAR MARGINS SPICULATED
ASSESSMENT 5
SUBTLETY 4
PATHOLOGY MALIGNANT
TOTAL_OUTLINES 1 
BOUNDARY