|  |  | 
|  |  | 
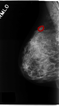
| ics_version 1.0 filename C-0167-1 DATE_OF_STUDY 8 10 1996 PATIENT_AGE 49 FILM FILM_TYPE REGULAR DENSITY 3 DATE_DIGITIZED 11 3 1998 DIGITIZER LUMISYS LASER SEQUENCE LEFT_CC LINES 4728 PIXELS_PER_LINE 2672 BITS_PER_PIXEL 12 RESOLUTION 50 NON_OVERLAY LEFT_MLO LINES 4704 PIXELS_PER_LINE 2552 BITS_PER_PIXEL 12 RESOLUTION 50 NON_OVERLAY RIGHT_CC LINES 4728 PIXELS_PER_LINE 2680 BITS_PER_PIXEL 12 RESOLUTION 50 NON_OVERLAY RIGHT_MLO LINES 4712 PIXELS_PER_LINE 2632 BITS_PER_PIXEL 12 RESOLUTION 50 OVERLAY | 
| FILE: C_0167_1.RIGHT_MLO.OVERLAY TOTAL_ABNORMALITIES 1 ABNORMALITY 1 LESION_TYPE CALCIFICATION TYPE PLEOMORPHIC DISTRIBUTION CLUSTERED ASSESSMENT 5 SUBTLETY 5 PATHOLOGY MALIGNANT TOTAL_OUTLINES 1 BOUNDARY |