Digital Database for Screening Mammography

Volume: cancer_05 Case: C-0171-1


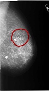
C_0171_1.RIGHT_MLO

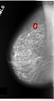
C_0171_1.LEFT_MLO

C_0171_1.RIGHT_CC

C_0171_1.LEFT_CC

ics_version 1.0
filename C-0171-1
DATE_OF_STUDY 5 7 1996
PATIENT_AGE 78
FILM
FILM_TYPE REGULAR
DENSITY 2
DATE_DIGITIZED 12 3 1998
DIGITIZER LUMISYS LASER
SEQUENCE
LEFT_CC LINES 5928 PIXELS_PER_LINE 3240 BITS_PER_PIXEL 12 RESOLUTION 50 NON_OVERLAY
LEFT_MLO LINES 5864 PIXELS_PER_LINE 3184 BITS_PER_PIXEL 12 RESOLUTION 50 OVERLAY
RIGHT_CC LINES 5872 PIXELS_PER_LINE 3168 BITS_PER_PIXEL 12 RESOLUTION 50 OVERLAY
RIGHT_MLO LINES 5928 PIXELS_PER_LINE 3184 BITS_PER_PIXEL 12 RESOLUTION 50 OVERLAY

FILE: C_0171_1.LEFT_MLO.OVERLAY

TOTAL_ABNORMALITIES 1
ABNORMALITY 1
LESION_TYPE MASS SHAPE ARCHITECTURAL_DISTORTION MARGINS SPICULATED
ASSESSMENT 2
SUBTLETY 5
PATHOLOGY BENIGN
TOTAL_OUTLINES 1 
BOUNDARY
FILE: C_0171_1.RIGHT_MLO.OVERLAY

TOTAL_ABNORMALITIES 1
ABNORMALITY 1
LESION_TYPE CALCIFICATION TYPE PLEOMORPHIC DISTRIBUTION CLUSTERED
ASSESSMENT 4
SUBTLETY 4
PATHOLOGY MALIGNANT
TOTAL_OUTLINES 1 
BOUNDARY
FILE: C_0171_1.RIGHT_CC.OVERLAY

TOTAL_ABNORMALITIES 1
ABNORMALITY 1
LESION_TYPE CALCIFICATION TYPE PLEOMORPHIC DISTRIBUTION CLUSTERED
ASSESSMENT 4
SUBTLETY 4
PATHOLOGY MALIGNANT
TOTAL_OUTLINES 1 
BOUNDARY