Digital Database for Screening Mammography

Volume: cancer_05 Case: C-0180-1


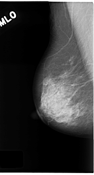
C_0180_1.RIGHT_MLO

C_0180_1.LEFT_MLO

C_0180_1.RIGHT_CC

C_0180_1.LEFT_CC

ics_version 1.0
filename C-0180-1
DATE_OF_STUDY 18 7 1996
PATIENT_AGE 72
FILM
FILM_TYPE REGULAR
DENSITY 3
DATE_DIGITIZED 17 3 1998
DIGITIZER LUMISYS LASER
SEQUENCE
LEFT_CC LINES 4712 PIXELS_PER_LINE 2320 BITS_PER_PIXEL 12 RESOLUTION 50 OVERLAY
LEFT_MLO LINES 4720 PIXELS_PER_LINE 2512 BITS_PER_PIXEL 12 RESOLUTION 50 OVERLAY
RIGHT_CC LINES 4680 PIXELS_PER_LINE 2600 BITS_PER_PIXEL 12 RESOLUTION 50 NON_OVERLAY
RIGHT_MLO LINES 4688 PIXELS_PER_LINE 2520 BITS_PER_PIXEL 12 RESOLUTION 50 NON_OVERLAY

FILE: C_0180_1.LEFT_MLO.OVERLAY

TOTAL_ABNORMALITIES 1
ABNORMALITY 1
LESION_TYPE MASS SHAPE LOBULATED MARGINS SPICULATED
ASSESSMENT 5
SUBTLETY 5
PATHOLOGY MALIGNANT
TOTAL_OUTLINES 1 
BOUNDARY
FILE: C_0180_1.LEFT_CC.OVERLAY

TOTAL_ABNORMALITIES 1
ABNORMALITY 1
LESION_TYPE MASS SHAPE LOBULATED MARGINS SPICULATED
ASSESSMENT 5
SUBTLETY 5
PATHOLOGY MALIGNANT
TOTAL_OUTLINES 1 
BOUNDARY