|  |  | 
|  |  | 
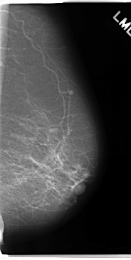
| ics_version 1.0 filename C-0181-1 DATE_OF_STUDY 28 10 1996 PATIENT_AGE 79 FILM FILM_TYPE REGULAR DENSITY 1 DATE_DIGITIZED 19 3 1998 DIGITIZER LUMISYS LASER SEQUENCE LEFT_CC LINES 4760 PIXELS_PER_LINE 2576 BITS_PER_PIXEL 12 RESOLUTION 50 NON_OVERLAY LEFT_MLO LINES 4752 PIXELS_PER_LINE 2392 BITS_PER_PIXEL 12 RESOLUTION 50 NON_OVERLAY RIGHT_CC LINES 4688 PIXELS_PER_LINE 2568 BITS_PER_PIXEL 12 RESOLUTION 50 OVERLAY RIGHT_MLO LINES 4704 PIXELS_PER_LINE 2408 BITS_PER_PIXEL 12 RESOLUTION 50 OVERLAY | 
| FILE: C_0181_1.RIGHT_MLO.OVERLAY TOTAL_ABNORMALITIES 1 ABNORMALITY 1 LESION_TYPE MASS SHAPE IRREGULAR MARGINS SPICULATED ASSESSMENT 5 SUBTLETY 5 PATHOLOGY MALIGNANT TOTAL_OUTLINES 1 BOUNDARY | 
| FILE: C_0181_1.RIGHT_CC.OVERLAY TOTAL_ABNORMALITIES 1 ABNORMALITY 1 LESION_TYPE MASS SHAPE IRREGULAR MARGINS SPICULATED ASSESSMENT 5 SUBTLETY 5 PATHOLOGY MALIGNANT TOTAL_OUTLINES 1 BOUNDARY |