Digital Database for Screening Mammography

Volume: cancer_05 Case: C-0216-1


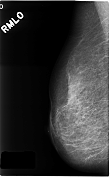
C_0216_1.RIGHT_MLO

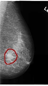
C_0216_1.LEFT_MLO

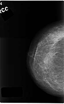
C_0216_1.RIGHT_CC

C_0216_1.LEFT_CC

ics_version 1.0
filename C-0216-1
DATE_OF_STUDY 15 8 1997
PATIENT_AGE 87
FILM
FILM_TYPE REGULAR
DENSITY 2
DATE_DIGITIZED 31 3 1998
DIGITIZER LUMISYS LASER
SEQUENCE
LEFT_CC LINES 4760 PIXELS_PER_LINE 2632 BITS_PER_PIXEL 12 RESOLUTION 50 OVERLAY
LEFT_MLO LINES 4744 PIXELS_PER_LINE 2624 BITS_PER_PIXEL 12 RESOLUTION 50 OVERLAY
RIGHT_CC LINES 4688 PIXELS_PER_LINE 2880 BITS_PER_PIXEL 12 RESOLUTION 50 NON_OVERLAY
RIGHT_MLO LINES 4680 PIXELS_PER_LINE 2888 BITS_PER_PIXEL 12 RESOLUTION 50 NON_OVERLAY

FILE: C_0216_1.LEFT_MLO.OVERLAY

TOTAL_ABNORMALITIES 1
ABNORMALITY 1
LESION_TYPE MASS SHAPE IRREGULAR MARGINS ILL_DEFINED
ASSESSMENT 4
SUBTLETY 5
PATHOLOGY MALIGNANT
TOTAL_OUTLINES 1 
BOUNDARY
FILE: C_0216_1.LEFT_CC.OVERLAY

TOTAL_ABNORMALITIES 1
ABNORMALITY 1
LESION_TYPE MASS SHAPE IRREGULAR MARGINS ILL_DEFINED
ASSESSMENT 5
SUBTLETY 5
PATHOLOGY MALIGNANT
TOTAL_OUTLINES 1 
BOUNDARY