Digital Database for Screening Mammography

Volume: cancer_06 Case: A-1161-1


A_1161_1.LEFT_MLO

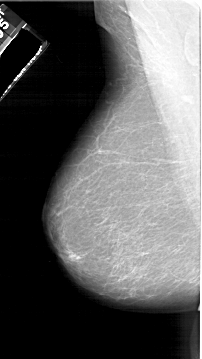
A_1161_1.RIGHT_MLO

A_1161_1.LEFT_CC

A_1161_1.RIGHT_CC

ics_version 1.0
filename A-1161-1
DATE_OF_STUDY 12 1 1995
PATIENT_AGE 74
FILM
FILM_TYPE REGULAR
DENSITY 2
DATE_DIGITIZED 12 6 1998
DIGITIZER HOWTEK 43.5
SEQUENCE
LEFT_CC LINES 6301 PIXELS_PER_LINE 3661 BITS_PER_PIXEL 12 RESOLUTION 43.5 NON_OVERLAY
LEFT_MLO LINES 6451 PIXELS_PER_LINE 3631 BITS_PER_PIXEL 12 RESOLUTION 43.5 NON_OVERLAY
RIGHT_CC LINES 6256 PIXELS_PER_LINE 3661 BITS_PER_PIXEL 12 RESOLUTION 43.5 NON_OVERLAY
RIGHT_MLO LINES 6181 PIXELS_PER_LINE 3781 BITS_PER_PIXEL 12 RESOLUTION 43.5 OVERLAY

FILE: A_1161_1.RIGHT_MLO.OVERLAY

TOTAL_ABNORMALITIES 1
ABNORMALITY 1 
LESION_TYPE MASS SHAPE IRREGULAR MARGINS ILL_DEFINED
ASSESSMENT 4 
SUBTLETY 1 
PATHOLOGY MALIGNANT
TOTAL_OUTLINES 1 
BOUNDARY