Digital Database for Screening Mammography

Volume: cancer_07 Case: A-1132-1


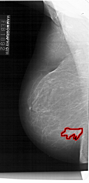
A_1132_1.LEFT_MLO

A_1132_1.RIGHT_MLO

A_1132_1.LEFT_CC

A_1132_1.RIGHT_CC

ics_version 1.0
filename A-1132-1
DATE_OF_STUDY 18 2 1992
PATIENT_AGE 70
FILM
FILM_TYPE REGULAR
DENSITY 2
DATE_DIGITIZED 30 6 1998
DIGITIZER HOWTEK 43.5
SEQUENCE
LEFT_CC LINES 6451 PIXELS_PER_LINE 3061 BITS_PER_PIXEL 12 RESOLUTION 43.5 OVERLAY
LEFT_MLO LINES 6871 PIXELS_PER_LINE 3346 BITS_PER_PIXEL 12 RESOLUTION 43.5 OVERLAY
RIGHT_CC LINES 6736 PIXELS_PER_LINE 3661 BITS_PER_PIXEL 12 RESOLUTION 43.5 NON_OVERLAY
RIGHT_MLO LINES 6616 PIXELS_PER_LINE 3766 BITS_PER_PIXEL 12 RESOLUTION 43.5 NON_OVERLAY

FILE: A_1132_1.LEFT_MLO.OVERLAY

TOTAL_ABNORMALITIES 1
ABNORMALITY 1 
LESION_TYPE MASS SHAPE IRREGULAR MARGINS ILL_DEFINED
ASSESSMENT 4 
SUBTLETY 5 
PATHOLOGY MALIGNANT
TOTAL_OUTLINES 1 
BOUNDARY
FILE: A_1132_1.LEFT_CC.OVERLAY

TOTAL_ABNORMALITIES 1
ABNORMALITY 1 
LESION_TYPE MASS SHAPE IRREGULAR MARGINS ILL_DEFINED
ASSESSMENT 4 
SUBTLETY 5 
PATHOLOGY MALIGNANT
TOTAL_OUTLINES 1 
BOUNDARY