Digital Database for Screening Mammography

Volume: cancer_07 Case: A-1217-1


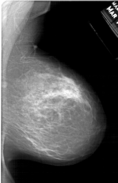
A_1217_1.LEFT_MLO

A_1217_1.RIGHT_MLO

A_1217_1.LEFT_CC

A_1217_1.RIGHT_CC

ics_version 1.0
filename A-1217-1
DATE_OF_STUDY 13 3 1996
PATIENT_AGE 65
FILM
FILM_TYPE REGULAR
DENSITY 3
DATE_DIGITIZED 9 7 1998
DIGITIZER HOWTEK 43.5
SEQUENCE
LEFT_CC LINES 5791 PIXELS_PER_LINE 3916 BITS_PER_PIXEL 12 RESOLUTION 43.5 OVERLAY
LEFT_MLO LINES 5881 PIXELS_PER_LINE 3751 BITS_PER_PIXEL 12 RESOLUTION 43.5 OVERLAY
RIGHT_CC LINES 6061 PIXELS_PER_LINE 4336 BITS_PER_PIXEL 12 RESOLUTION 43.5 NON_OVERLAY
RIGHT_MLO LINES 5776 PIXELS_PER_LINE 3736 BITS_PER_PIXEL 12 RESOLUTION 43.5 NON_OVERLAY

FILE: A_1217_1.LEFT_MLO.OVERLAY

TOTAL_ABNORMALITIES 1
ABNORMALITY 1 
LESION_TYPE MASS SHAPE ARCHITECTURAL_DISTORTION MARGINS SPICULATED
ASSESSMENT 4 
SUBTLETY 2 
PATHOLOGY MALIGNANT
TOTAL_OUTLINES 1 
BOUNDARY
FILE: A_1217_1.LEFT_CC.OVERLAY

TOTAL_ABNORMALITIES 1
ABNORMALITY 1 
LESION_TYPE MASS SHAPE ARCHITECTURAL_DISTORTION MARGINS SPICULATED
ASSESSMENT 4 
SUBTLETY 2 
PATHOLOGY MALIGNANT
TOTAL_OUTLINES 1 
BOUNDARY