Digital Database for Screening Mammography

Volume: cancer_08 Case: A-1469-1


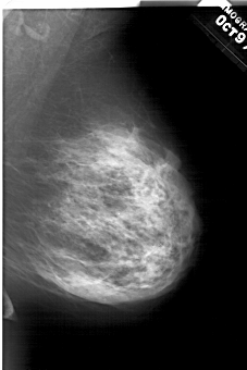
A_1469_1.LEFT_MLO

A_1469_1.RIGHT_MLO

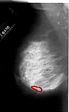
A_1469_1.LEFT_CC

A_1469_1.RIGHT_CC

ics_version 1.0
filename A-1469-1
DATE_OF_STUDY 6 10 1997
PATIENT_AGE 56
FILM
FILM_TYPE REGULAR
DENSITY 4
DATE_DIGITIZED 11 11 1998
DIGITIZER HOWTEK 43.5
SEQUENCE
LEFT_CC LINES 6826 PIXELS_PER_LINE 3781 BITS_PER_PIXEL 12 RESOLUTION 43.5 OVERLAY
LEFT_MLO LINES 6556 PIXELS_PER_LINE 4036 BITS_PER_PIXEL 12 RESOLUTION 43.5 OVERLAY
RIGHT_CC LINES 6871 PIXELS_PER_LINE 3961 BITS_PER_PIXEL 12 RESOLUTION 43.5 NON_OVERLAY
RIGHT_MLO LINES 6106 PIXELS_PER_LINE 4081 BITS_PER_PIXEL 12 RESOLUTION 43.5 NON_OVERLAY

FILE: A_1469_1.LEFT_MLO.OVERLAY

TOTAL_ABNORMALITIES 1
ABNORMALITY 1 
LESION_TYPE CALCIFICATION TYPE PLEOMORPHIC DISTRIBUTION LINEAR
ASSESSMENT 4 
SUBTLETY 1 
PATHOLOGY MALIGNANT
TOTAL_OUTLINES 1 
BOUNDARY
FILE: A_1469_1.LEFT_CC.OVERLAY

TOTAL_ABNORMALITIES 1
ABNORMALITY 1 
LESION_TYPE CALCIFICATION TYPE PLEOMORPHIC DISTRIBUTION LINEAR
ASSESSMENT 4 
SUBTLETY 1 
PATHOLOGY MALIGNANT
TOTAL_OUTLINES 1 
BOUNDARY