Digital Database for Screening Mammography

Volume: cancer_08 Case: A-1488-1


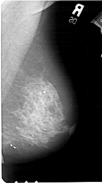
A_1488_1.LEFT_MLO

A_1488_1.RIGHT_MLO

A_1488_1.LEFT_CC

A_1488_1.RIGHT_CC

ics_version 1.0
filename A-1488-1
DATE_OF_STUDY 3 7 1997
PATIENT_AGE 64
FILM
FILM_TYPE REGULAR
DENSITY 3
DATE_DIGITIZED 30 10 1998
DIGITIZER HOWTEK 43.5
SEQUENCE
LEFT_CC LINES 5401 PIXELS_PER_LINE 2776 BITS_PER_PIXEL 12 RESOLUTION 43.5 NON_OVERLAY
LEFT_MLO LINES 5491 PIXELS_PER_LINE 3136 BITS_PER_PIXEL 12 RESOLUTION 43.5 OVERLAY
RIGHT_CC LINES 5266 PIXELS_PER_LINE 2656 BITS_PER_PIXEL 12 RESOLUTION 43.5 NON_OVERLAY
RIGHT_MLO LINES 5491 PIXELS_PER_LINE 3016 BITS_PER_PIXEL 12 RESOLUTION 43.5 NON_OVERLAY

FILE: A_1488_1.LEFT_MLO.OVERLAY

TOTAL_ABNORMALITIES 1
ABNORMALITY 1 
LESION_TYPE MASS SHAPE IRREGULAR MARGINS ILL_DEFINED
ASSESSMENT 4 
SUBTLETY 2 
PATHOLOGY MALIGNANT
TOTAL_OUTLINES 1 
BOUNDARY