Digital Database for Screening Mammography

Volume: cancer_08 Case: A-1536-1


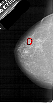
A_1536_1.LEFT_MLO

A_1536_1.RIGHT_MLO

A_1536_1.LEFT_CC

A_1536_1.RIGHT_CC

ics_version 1.0
filename A-1536-1
DATE_OF_STUDY 27 8 1992
PATIENT_AGE 73
FILM
FILM_TYPE REGULAR
DENSITY 2
DATE_DIGITIZED 18 11 1998
DIGITIZER HOWTEK 43.5
SEQUENCE
LEFT_CC LINES 4966 PIXELS_PER_LINE 2581 BITS_PER_PIXEL 12 RESOLUTION 43.5 OVERLAY
LEFT_MLO LINES 5206 PIXELS_PER_LINE 2791 BITS_PER_PIXEL 12 RESOLUTION 43.5 OVERLAY
RIGHT_CC LINES 5386 PIXELS_PER_LINE 2746 BITS_PER_PIXEL 12 RESOLUTION 43.5 NON_OVERLAY
RIGHT_MLO LINES 5401 PIXELS_PER_LINE 2821 BITS_PER_PIXEL 12 RESOLUTION 43.5 NON_OVERLAY

FILE: A_1536_1.LEFT_MLO.OVERLAY

TOTAL_ABNORMALITIES 1
ABNORMALITY 1 
LESION_TYPE MASS SHAPE OVAL MARGINS ILL_DEFINED
ASSESSMENT 4 
SUBTLETY 3 
PATHOLOGY MALIGNANT
TOTAL_OUTLINES 1 
BOUNDARY
FILE: A_1536_1.LEFT_CC.OVERLAY

TOTAL_ABNORMALITIES 1
ABNORMALITY 1 
LESION_TYPE MASS SHAPE OVAL MARGINS ILL_DEFINED
ASSESSMENT 4 
SUBTLETY 3 
PATHOLOGY MALIGNANT
TOTAL_OUTLINES 1 
BOUNDARY