Digital Database for Screening Mammography

Volume: cancer_08 Case: A-1538-1


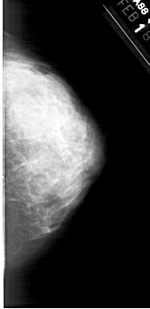
A_1538_1.LEFT_MLO

A_1538_1.RIGHT_MLO

A_1538_1.LEFT_CC

A_1538_1.RIGHT_CC

ics_version 1.0
filename A-1538-1
DATE_OF_STUDY 18 2 1992
PATIENT_AGE 49
FILM
FILM_TYPE REGULAR
DENSITY 4
DATE_DIGITIZED 18 11 1998
DIGITIZER HOWTEK 43.5
SEQUENCE
LEFT_CC LINES 5056 PIXELS_PER_LINE 2146 BITS_PER_PIXEL 12 RESOLUTION 43.5 OVERLAY
LEFT_MLO LINES 5491 PIXELS_PER_LINE 2431 BITS_PER_PIXEL 12 RESOLUTION 43.5 OVERLAY
RIGHT_CC LINES 4831 PIXELS_PER_LINE 2341 BITS_PER_PIXEL 12 RESOLUTION 43.5 NON_OVERLAY
RIGHT_MLO LINES 5491 PIXELS_PER_LINE 2461 BITS_PER_PIXEL 12 RESOLUTION 43.5 NON_OVERLAY

FILE: A_1538_1.LEFT_MLO.OVERLAY

TOTAL_ABNORMALITIES 1
ABNORMALITY 1 
LESION_TYPE CALCIFICATION TYPE PUNCTATE DISTRIBUTION SEGMENTAL
ASSESSMENT 4 
SUBTLETY 2 
PATHOLOGY MALIGNANT
TOTAL_OUTLINES 1 
BOUNDARY
FILE: A_1538_1.LEFT_CC.OVERLAY

TOTAL_ABNORMALITIES 1
ABNORMALITY 1 
LESION_TYPE CALCIFICATION TYPE PUNCTATE DISTRIBUTION SEGMENTAL
ASSESSMENT 4 
SUBTLETY 2 
PATHOLOGY MALIGNANT
TOTAL_OUTLINES 1 
BOUNDARY