Digital Database for Screening Mammography

Volume: cancer_09 Case: C-0224-1


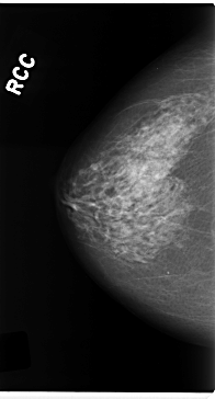
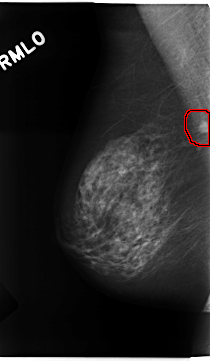
C_0224_1.RIGHT_MLO

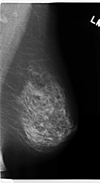
C_0224_1.LEFT_MLO

C_0224_1.RIGHT_CC

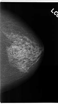
C_0224_1.LEFT_CC

ics_version 1.0
filename C-0224-1
DATE_OF_STUDY 18 8 1997
PATIENT_AGE 72
FILM
FILM_TYPE REGULAR
DENSITY 2
DATE_DIGITIZED 14 4 1998
DIGITIZER LUMISYS LASER
SEQUENCE
LEFT_CC LINES 4768 PIXELS_PER_LINE 2656 BITS_PER_PIXEL 12 RESOLUTION 50 NON_OVERLAY
LEFT_MLO LINES 4760 PIXELS_PER_LINE 2608 BITS_PER_PIXEL 12 RESOLUTION 50 NON_OVERLAY
RIGHT_CC LINES 4720 PIXELS_PER_LINE 2544 BITS_PER_PIXEL 12 RESOLUTION 50 NON_OVERLAY
RIGHT_MLO LINES 4688 PIXELS_PER_LINE 2728 BITS_PER_PIXEL 12 RESOLUTION 50 OVERLAY

FILE: C_0224_1.RIGHT_MLO.OVERLAY

TOTAL_ABNORMALITIES 1
ABNORMALITY 1
LESION_TYPE MASS SHAPE ROUND MARGINS MICROLOBULATED
ASSESSMENT 5
SUBTLETY 5
PATHOLOGY MALIGNANT
TOTAL_OUTLINES 1 
BOUNDARY