Digital Database for Screening Mammography

Volume: cancer_09 Case: B-3393-1


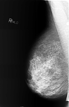
B_3393_1.RIGHT_MLO

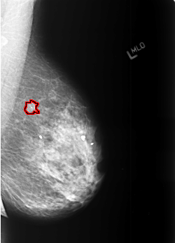
B_3393_1.LEFT_MLO

B_3393_1.RIGHT_CC

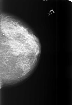
B_3393_1.LEFT_CC

ics_version 1.0
filename B-3393-1
DATE_OF_STUDY 24 3 1995
PATIENT_AGE 59
FILM
FILM_TYPE REGULAR
DENSITY 3
DATE_DIGITIZED 29 10 1998
DIGITIZER LUMISYS LASER
SEQUENCE
LEFT_CC LINES 5592 PIXELS_PER_LINE 3840 BITS_PER_PIXEL 12 RESOLUTION 50 NON_OVERLAY
LEFT_MLO LINES 5552 PIXELS_PER_LINE 4000 BITS_PER_PIXEL 12 RESOLUTION 50 OVERLAY
RIGHT_CC LINES 5824 PIXELS_PER_LINE 3664 BITS_PER_PIXEL 12 RESOLUTION 50 NON_OVERLAY
RIGHT_MLO LINES 5696 PIXELS_PER_LINE 3712 BITS_PER_PIXEL 12 RESOLUTION 50 NON_OVERLAY

FILE: B_3393_1.LEFT_MLO.OVERLAY

TOTAL_ABNORMALITIES 1
ABNORMALITY 1
LESION_TYPE MASS SHAPE IRREGULAR MARGINS ILL_DEFINED-SPICULATED
ASSESSMENT 4
SUBTLETY 4
PATHOLOGY MALIGNANT
TOTAL_OUTLINES 1 
BOUNDARY